Endobronchial Metastasis of Malignant Melanoma, Diagnosed by Bronchoscopy:

Report of A Case

Article information

Korean J Intern Med. 1988;3(1):77-80
Department of Internal Medicine, College of Medicine, Seoul National University, Seoul, Korea
Department of Pathology
Address reprint requests: Noe Kyeong Kim, M.D., Department of Internal Medicine, Seoul National University Hospital, #28, Yun Kun-Dong, Chongno-Ku, Seoul 110-744, Korea

Abstract

Endobronchial metastasis occurs in about 2% to 5% of patients dying of solid tumors of extrathoracic origin. These metastatic tumors can simulate bronchogenic carcinoma and presenting symptoms include cough, hemoptysis, dyspnea and wheezing. In most cases of endobronchial metastasis, the histologic finding of the bronchoscope biopsy suggests the correct diagnosis. There are only a few reports of endobronchial metastasis from malignant melanoma. We report a case of malignant melanoma with endobronchial metastasis presenting with hemoptysis simulating primary bronchogenic carcinoma.

INTRODUCTION

The lung is a common site for metastases from an extrathoracic tumor. In a series of 500 cancer autopsies Willis reported that the lung was the site of metastasis in about 30% of the cases.1) The incidence of clinically significant involvement of a major bronchus by metastasis from an extrathoracic tumor occurs in 2% to 5% of all cases.2) Common primary sites included kidney, colorectum, and breast.25) When cutaneous melanoma disseminates, it has no preferential pattern of metastasis.6) There have been only a few reports of endobronchial metastasis from malignant melanoma since Clerf reported a melanoma of the bronchus simulating bronchogenic carcinoma in 1934.7) We report a case of malignant melanoma with endobronchial metastasis diagnosed by bronchoscopy and biopsy, and briefly review endobronchial metastasis from an extrathoracic tumor.

CASE

A 48-year-old woman was admitted to the Department of Internal Medicine of the Seoul National University Hospital in October, 1987 because of hemoptysis. She complained of productive cough and intermittent wheezing of five weeks’ duration. She had no history of fever, chill or weight loss.

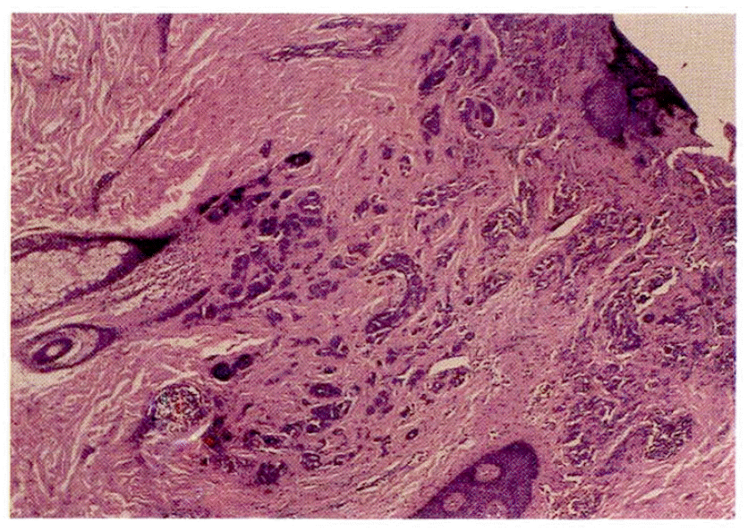
In February, 1986 she had been diagnosed as stage I malignant melanoma of the left cervical region which was treated with wide excision and left radical neck dissection. The pathologic report revealed it to be Clark’s level IV and 5 mm in thickness (Fig. 1). Since then she had been followed regularly through the outpatient department without any evidence of recurrence.

Fig. 1.

Superficial spreading melanoma, showing coalescent nests of malignant cells, is filling and expanding the papillary dermis and invading the reticular dermis (Clark level IV) (HE × 40)

Five weeks before admission she began to cough up blood-streaked sputum. In a recumbent position she suffered from mild dyspnea and wheezing respiration intermittently. Ten days before admission she coughed up frank blood. At the time of admission, the physical examination revealed wheezing and decreased breath sounds in the left lower lung field. Mucocutaneous lesions and palpable lymph nodes were not present. Chest roentgenogram showed left lower lobe collaps (Fig. 2). Laboratory data were normal except for lactic dehydrogenase (LDH) of 414 IU/L. Liver scan was normal. Four repeated sputum cytologic examinations were negative for malignant cells. Pulmonary function tests showed a moderate restrictive pattern. On bronchoscopy, a fungating, dark grayish, irregularly surfaced endobronchial mass at the orifice of the left lower lobe bronchus nearly completely occluding the lumen (Fig. 3) was found. Bronchoscopic biopsy revealed metastatic malignant melanoma (Fig. 4). Computed tomography of the chest showed left lower lobe collapse and aortic invasion (Fig. 5). So palliative chemotherapy with dimethyl triazeno imidazole carboxamide (DTIC) was given as a five day schedule and she was discharged.

Fig. 2.

Postero-anterior view of the chest showing left lower lobe collapse

Fig. 3.

Fiberoptic bronchoscope photography showing a fungating dark grayish endobronchial mass at the orifice of the left lower lobe bronchus

Fig. 4.

Computed tomogram of the chest showing left lower lobe collapse and aortic invasion from the tumor

Fig. 5.

Tumor cells in the bronchoscopic biopsy specimen, revealing abundant pink granular cytoplasm and pleomorphic nuclei containing peripherally clumped chromatin and prominent nucleoli, which is the same histology as that of a previous specimen (Fig. 1) (HE, × 400)

In November, 1987 she was readmitted due to progressive dyspnea and back pain. Also she complained of paresthesia in the area of the third and fourth sacral dermatomes. On physical examination she was in respiratory distress. But symptoms of muscle weakness and urinary incontinence were not observed. Chest roentgenogram showed total haziness of the left lung with the leftward mediastinal shift. The aspartate aminotransferase (AST), alanine aminotransferase (ALT) and serum alkaline phosphatase (SAP) were 56 IU/L, 56 IU/L and 290 IU/L, respectively. Liver scan showed multiple filling defects that had not been observed in the previous study. Bone scan was normal. On the tenth hospital day, bronchoscopy revealed a complete occlusion at the distal site of the left main bronchus by the fungating black tumor mass. The chest film after bronchoscopy showed slight improvement of the left lung collapse. She has been managed with supportive measures.

DISCUSSION

There are five possible routes for carcinoma to spread to the bronchus: 1) parenchymal mass lesion with invasion 2) mediastinal lesion with direct extension 3) direct lymphatic spread 4) transbronchial aspiration and 5) direct metastasis.5)

The clinical and roentgenographic features of endobronchial metastasis were indistinguishable from primary bronchogenic carcinoma.5) The most common symptoms are cough and hemoptysis. Dyspnea and wheezing occur less often.4) The most common finding on chest roentgenogram is the collapse of a lung, lobe, or segment.8) So the possibility of endobronchial metastasis should be considered if hemoptysis, cough, and roentgenographic change of collapse develop in a patient with a known malignant lesion.

In Harefields series 25 of 90 surgical patients with pulmonary metastasis had endobroncial tumors and all of the lesions were readily visible bronchoscopically.3) As a result, bronchoscopy is a valuable method for establishing the diagnosis. Management of endobronchial metastasis is similar to the principles that apply to the management of patients with bronchogenic carcinoma.2) Treatment is determined by the histologic identification of the primary tumor and its biologic behavior. Some authors advocate that resection should be performed unless other extrapulmonary lesions are also present.9) Because hilar or mediastinal lymph node metastasis is frequently present on postmortem examination, some recommend mediastinoscopy before surgical excision.2) Survival with endobronchial metastasis depends on the behavior of the tissue of origin. All patients with metastatic endobronchial melanoma died within a year of diagnosis.3,5)

References

1. Willis RA. The spread of tumors in the human body Lodon: Butterworth & Co Ltd. p. 172. 1952.
2. Braman SS, Whitcomb ME. Endobronchial metastasis. Arch Intern Med 135:543–7. 1975;
3. Shepherd MP. Endobronchial metastatic disease. Thorax 37:362–365. 1982;
4. Baumgartner WA, Mark JBD. Metastatic malignancies from distant sites to the tracheobronchial tree. J Thorac Cardiovasc Surg 79:499–503. 1980;
5. Fitzgerald RH. Endobronchial Metastasis. South Med J 70:440–1. 1977;
6. Devita VT. Cutaneous melanoma. Cancer principles and practices of oncology 2nd Edth ed. p. 1371–1422. 1985.
7. Clerf LH. Melanoma of bronchus: Metastasis simulating bronchogenic neoplasm. Ann Otol Rhinol Laryngol 43:887–91. 1934;
8. Schoenbaum S, Viamonte M. Subepithelial endobronchial metastases. Radiology 101:63–69. 1971;
9. Higginson JF. A study of excised pulmonary metastatic malignancies. Am J Surg 90:241–49. 1955;
10. Tinidad S, Lisa JR, Rosenblatt MB. Bronchogenic carcinoma simulated by metastatic tumors. Cancer 16:1521–29. 1963;
11. Freedlander SO, Greenfield J. Hemoptysis in metastatic tumors of the lung simulating bronchogenic carcinoma. J Thorac Surg 12(2):109–16. 1942;

Article information Continued

Fig. 1.

Superficial spreading melanoma, showing coalescent nests of malignant cells, is filling and expanding the papillary dermis and invading the reticular dermis (Clark level IV) (HE × 40)

Fig. 2.

Postero-anterior view of the chest showing left lower lobe collapse

Fig. 3.

Fiberoptic bronchoscope photography showing a fungating dark grayish endobronchial mass at the orifice of the left lower lobe bronchus

Fig. 4.

Computed tomogram of the chest showing left lower lobe collapse and aortic invasion from the tumor

Fig. 5.

Tumor cells in the bronchoscopic biopsy specimen, revealing abundant pink granular cytoplasm and pleomorphic nuclei containing peripherally clumped chromatin and prominent nucleoli, which is the same histology as that of a previous specimen (Fig. 1) (HE, × 400)