A Case of Pulmonary Malignant Fibrous Histiocytoma Associated with Pulmonary Artery Obstruction

Article information

Korean J Intern Med. 1990;5(1):79-82
Department of Internal Medicine, College of Medicine, Korea University, Seoul, Korea
Address reprint request: Se Hwa Yoo, M.D., Department of Internal Medicine, Korea University Hospital, 2Ka, Myungyundong, Chongroku, Seoul, 110-522, Korea

Abstract

Malignant fibrous histiocytoma (MFM) is among the most common soft tissue sarcoma of adults, but primary MFH of the lung is very rare. We report a case of primary pulmonary MFH associated with pulmonary artery obstruction.

INTRODUCTION

Malignant fibrous histiocytoma (MFH) is a primitive sarcoma originating in deep soft tissue with a peak age incidence in the sixth and seventh decades of life. It most frequently involves the extremities, retroperitoneum and trunk.1,2)

Primary MFH of the lung is very rare, although over 75% of deep-seated soft tissue MFH metastasize to the lung.1)

We report a case of primary pulmonary MFH associated with pulmonary artery obstruction.

CASE REPORT

A 43-year-old woman was admitted to Guro Hospital, Korea University Medical Center, because of left chest pain which developed one month prior to admission.

Five months previous to adminssion she had been treated with antituberculous drugs for cervical tuberculous lymphadenitis.

Physical examination upon admission was normal. The results of a routine examination showed a hemoglobin of 12.5 g/dl, hematocrit of 38%, a leukocyte count of 9800/mm with normal differential count and normal serum electrolyte concentration. Arterial blood gas measurements during room breathing showed a pH, 7.36; PCO2, 31 mmHg and PO2, 95 mmHg. Pulmonary function studies showed that VC was 2.07 L (70% of predicted), FEV1 was 1.48 L (56% of predicted), FEV1/FVC was 0.72 (79% of predicted).

A chest X-ray revealed the shadow of a well-defined marginated mass in the left lung field (Fig. 1). A chest CT scan showed a mass lesion in the left anterolateral thorax broadly abutting the chest wall (Fig. 2). Gastrofiberscopic and colonofiberscopic examinations were normal. An abdominal ultrasonogram was normal. A bone scan was unremarkable. A percutaneous transthoracic biopsy was done. Histologically, the tumor tissue was composed of scattered osteoclastic-type multinucleated giant cells and large pleomorphic mononuclear cells (Fig. 3). The tumor cells showed positive immunostaining for vimentin. Stains for cytokeratin, epithelial membrane antigen were negative.

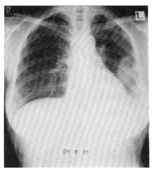
Fig. 1.

Chest PA: The shadow of a well-defined mass is seen in the left thorax.

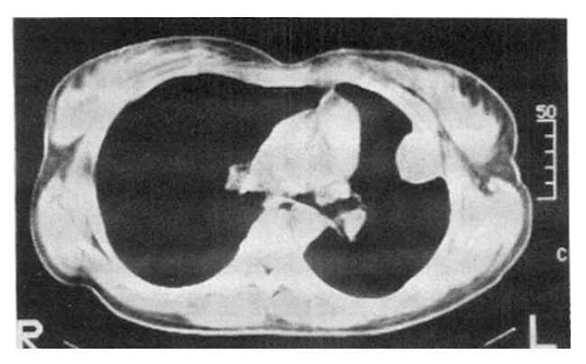
Fig. 2.

Chest CT: A soft-tissue mass lesion in the anterolateral thorax broadly abutts the chest wall.

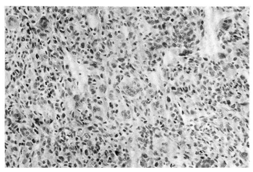
Fig. 3.

Microscopic section reveals solid tumor tissue composed of scattered osteoclastic-type multinucleated giant cells and large pleomorphic mononuclear cells. H&E Stain (×200)

A perfusion lung scan was done as part of a preoperative evaluation for lobectomy of the lung. It showed total nonvisualization of the left lung (Fig. 4).

Fig. 4.

A perfusion lung scan reveals total nonvisualization of the left lung.

A pulmonary arteriogram revealed a complete occlusion of the left main pulmonary artery (Fig. 5).

Fig. 5.

A pulmonary arteriogram shows complete occulusion of the left main pulmonary artery.

Instead of a lobectomy, the patint was treated with chemotherapy and radiotherapy. However her symptoms and the pulmonary mass lesions did not improve.

DISCUSSION

Malignant fibrous histiocytomas were described in the early 1960s by Stout and colleagues.3,4) They thought that the sarcoma was derived from a neoplastic histiocyte which was able to differentiate along mesenchymal lines to form facultative fibroblasts. But with recent immunohistochemical and enzyme studies, Wood et al.5) suggested that MFH was derived from fibroblastic differentiation.

MFH is one of the most common soft tissue sarcomas of adulthood, accounting for about 10 percent of all sarcomas.6) While the usual primary site is the deep musculature of the upper and lower extremities and peritoneum, MFH have been reported in various epithelial organs, presumably derived from the supportive mesenchymal elements.7)

Primary sarcomas of the lung are extremely rare with leiomyosarcoma and fibrosarcoma being the most commonly reported primary sarcomas, with MFH ranking third in incidence.79)

In the majority of previously reported cases and those in the literature, chest radiographs have shown solitary mass lesions.10,11) But in two reports in the literature,10,12) MFH of the lung has presented with more than one mass lesion. Later, one was considered by the authors to have multifocal sites of origin,12) while the other represented metastatic disease.10) So primary MFH can represent multifocal mass lesions. In our case, two mass lesions were cosidered as multifocal lesions rather than metastasis.

A rare case of MFH occurring in the pulmonary artery was reported. It mimicked pulmonary embolism,13) but vascular invasion, which was an unusual manifestation of MFH in the lung, was reported. Misra et al.14) reported a case of pulmonary MFH presenting as multiple thromboemboli, and Kern et al.15) described a similr phenomenon. In our case, a perfusion lung scan revealed total nonvisualization of the left lung, and pulmonary arteriogram showed a complete occulusion of the left main pulmonary artery. We do not consider the pulmonary artery obstruction to be a result of the primary sarcoma of the pulmonary artery. Probably the pulmonary artery obstruction was due to tumor emboli of primary pulmonary MFH.

MFH of the lung in histologic features similar to their soft tissue counterparts was classified according to the scheme proposed by Enzinger and Weisser16): storiform-pleomorphic, myxoid, inflammatory, giant cell ad angiomatoid. Our MFH of the lung showed scattered osteoclastic-type multinucleated giant cells and large pleomorphic mononuclear cells.

By routine light microscopic examination, MFH may be difficult to distinguish from other sarcomas, malignant schwannoma, spindle-cell and anaplastic carcinoma and malignant melanoma. So immunohistochemical and electron microscopic techniques may be required for the diagnosis.17)

Electron microscopic examination shows the presence of fibroblastic, histiocytic type cells and undifferentiated mesenchymal cells. It is helpful to rule out other sarcomas, malignant schwannoma and malignant melanoma. But such electron microscopic results may be misleading in the small amounts of tissue sampled. In such cases, immunohistochemical techniques may be used to support the diagnosis.17)

Epithelial membrane antigen and cytokeratin are both found in epithelial tissues and their associated tumors. Vimentin is a general marker found in mesenchymal tissues. Antibodies to these various proteins are useful in distinguishing between epithelial and mesenchymal tumors.18)

Immunohistochemical markers for histiocytic differentiation are of value in helping to establish the more speific diagnosis of MFH. The use of α1-antitrypsin, lysozyme and α1-antichymotrypsin in diagnosing soft tissue tumors, including those of presumed histiocytic origin, has been described.19)

In our case, electron microscopic findings were not obtained, but all the work-ups for metastatic MFH of the lung were unremarkable. Microscopic examination and the immunohistochemical findings were compatible with MFH.

References

1. Weiss SW, Enzinger FM. Malignant fibrous histiocytoma: An analysis of 200 cases. Cancer 41:2250. 1978;
2. Kearney MM, Soule EH. Malignant fibrous histiocytoma: A retrospective study of 167 cases. Cancer 145:167. 1980;
3. O’Brien JE, Stout AP. Malignant fibrous xanthomas. Cancer 17:1445. 1964;
4. Ozzello L, Stout AP, Murray MR. cultural characteristics of malignant histiocytomas and fibrous xanthomas. Cancer 16:331. 1963;
5. Wood GS, Beckstead JH, Turner RR, Hendrickson MR, Kepson RL, Warnke RA. Malignant fibrous histiocytoma tumor cells resemble fibroblasts. Am J Surg Patol 10:323. 1986;
6. Russell WO, Cohen J, Enzinger FM, et al. A clinical and pathological staging system for soft tissue sarcomas. Cancer 40:1562. 1977;
7. Dahlin DC, Unni KK, Matsuno T. Malignant fibrous histiocytoma of bone. Cancer 39:1508. 1977;
8. Guccion JG, Rosen SH. Bronchopulmonary leiomyosarcoma and fibrosarcoma: A study of 32 cases and review of the literature. Cancer 30:836. 1972;
9. Nascimento AG, Unni KK, Bernatz PE. Sarcomas of the lung. Mayo Clin Proc 57:355. 1982;
10. Lee JT, Shelburne JD, Linder J. Primary malignant fibrous histiocytoma of the lung: A clinicopathologic and ultrastructural study of five cases. Cancer 53:1124. 1984;
11. Mills SA, Breyer RH, Johnston FR, et al. Malignant fibrous histiocytoma of the mediastinum and lung. J Thorac Cardiovasc Surg 84:367. 1982;
12. Bedrossian CWM, Verani R, Unger KM, Salman J. Pulmonary malignant fibrous histiocytoma. Chest 75:186. 1979;
13. Sleyster TJ, Heystraten FM. Malignant fibrous histiocytoma mimicking pulmonary embolism. Thorax 43:580. 1988;
14. Misra DP, Sunderriajan EV, Rosenholtz MJ, Hurst DJ. Malignant fibrous histiocytoma in the lung masquerading as recurrent pulmonary thromboembolism. Cancer 51:538. 1983;
15. Kern WH, Hughes RK, Meyer BW, Harley DP. Malignant fibrous histiocytoma of the lung. Cancer 44:1793. 1979;
16. Enzinger FM, Weiss SW. Soft tissue tumors St Louis: CV Mosby. p. p166. 1983.
17. McDonnell T, Kyriakos M, Roper C, Mazoujan G. Malignant fibrous histiocytoma of the lung. Cancer 61:137. 1988;
18. Miettinen M, Lehto VP, Badley RA, Virtanen I. Expression of intermediate filaments in soft-tissue sarcomas. Int J Cancer 30:541. 1982;
19. Roholl PJM, Kleijne J, Van Basten CDH, Van Der Putte SCJ, Van Unnik JAM. A study to analyze the origin of tumor cells in malignant fibrous histiocytomas: A multiparametric characterization. Cancer 56:2809. 1985;

Article information Continued

Fig. 1.

Chest PA: The shadow of a well-defined mass is seen in the left thorax.

Fig. 2.

Chest CT: A soft-tissue mass lesion in the anterolateral thorax broadly abutts the chest wall.

Fig. 3.

Microscopic section reveals solid tumor tissue composed of scattered osteoclastic-type multinucleated giant cells and large pleomorphic mononuclear cells. H&E Stain (×200)

Fig. 4.

A perfusion lung scan reveals total nonvisualization of the left lung.

Fig. 5.

A pulmonary arteriogram shows complete occulusion of the left main pulmonary artery.