A Case of Post-Traumatic Coronary Occlusion
Article information
Abstract
Several cases of transmural myocardial infarction1–11) and ventricular aneurysm12–14) caused by a blunt trauma of the chest have been reported. Nevertheless, the cases documented with coronary and ventricular angiography are very few5,8–11,14).
There has always been a debate over the etiological mechanism of such lesions. Since in some cases there was no evidence of coronary lesions5,9,11,14), it was postulated that they were produced by direct myocardial contusion, but in other instances the evidence of coronary occlusion was angiographically8,10) and pathologically2,3) proved.
We experienced a case of acute myocardial infarction with ventricular aneurysm secondary to nonpenetrating chest trauma by an umbrella tip and wish to report this unusual case, along with a review of the literature.
INTRODUCTION
Coronary artery occlusion and acute myocardial infarction secondary to blunt chest trauma have been assumed to be a rare occurrence. The majority of cases reported in the literature have been diagnosed by clinical evidence or at autopsy2,3,5).
It is possible that direct injury to the coronary arteries is more common than amticipated and it may be proved so with the more frequent use of coronary arteriograms in patients having blunt chest trauma.
We report the occurrence of complete occlusion of the left anterior descending coronary artery with ventricular aneurysm secondary to blunt chest trauma by an umbrella tip.
The complete occlusion of the coronary arteries was proved by coronary angiography.
CASE REPORT
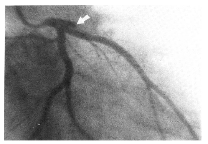
A 29-year-old male with no previous history of heart disease was admitted to the Chest Surgery Department via the emergency room because of dyspnea and severe chest pain shortly after experiencing strainght anterior wall chest trauma by an umbrella tip. The patient had no earlier history of admission, operation, cardiac or respiratory diseases. He did not smoke or consume alcohol. There was no family history of cardiac or respiratory diseases. He was a stockbroker and was stabbd with the acute tip of an umbrella by an angry customer who had lost all of his fortune. Thirty minutes after abrupt chest pain and dyspnea, he was brought to the hospital. Physical examination on arrival revealed blood pressure of 150/100 mmHg, a regular pulse rate of 68 beats per minute, and respiration at the rate of 20 per minute. On examination, there was no visible wound on the chest wall. Carotid pulsation was normal. On auscultation there were no wheezes or rales in both lung fields. Examination of the heart revealed a regular rhythm without murmurs, clicks or pericardial rubs. The electrocardiogram (ECG) showed abnormal Q waves with an ST elevation on leads V2–V4 (Fig. 1). The chest X-ray film revealed cardiomegaly with cardiothoracic ratio 0.55 and no bony fracture. Serum LDH was 1257 IU/l, SGOT 646 IU/l, and CPK 365 IU/l. White blood cell count was 13,600/ml. Urinalysis and routine blood chemistry, including fasting blood glucose and cholesterol, were all within normal limits. An echocardiogram revealed hypokinesia of the anteroseptal wall and dyskinesia of the apical wall. A left ventriculogram and coronary arteriograms were performed 3 weeks after admission. Coronary arteriography revealed a total occlusion of the proximal segment of the left anterior descending coronary artery (Fig. 2). A ventriculogram showed an area of hypokinesia on the anterobasal segment, as well as dyskinesia on the anterolateral and apical segments (Fig. 3). The patient had an uneventful hospitalization, and 3 weeks after admission he was discharged. The patient is asymptomatic at this time.

Left coronary arteriography in the right anterior oblique projection. A complete out-off of the left anterior descending coronary artery at the proximal segment is seen (arrow). No other lesion is observed.
DISCUSSION
Nonpenetrating chest traumas producing different cardiac complications have been frequently reported15,17). However, among these complications, acute myocardial infarction has been documented in only a few cases and usually secondary to automobile accidents18). On reviewing the literature, we found only a few cases with acute myocardial infarction secondary to chest trauma other than automobile accidents. We experienced a young patient who developed acute mocardial infarction following chest trauma. The patient had been healthy up until this accident, and the family history was also negative for significant coronary artery disease.
The mechanism of myocardial infarction atter blunt chest trauma is unclear. Coronary artery dissection19,20) and thrombosis11,21) with or without recanalization or focal spasm have been suggested as possible mechanisms. Thrombosis of a coronary artery after trauma has been shown at necropsy. It remains to be established to what extent intimal dissection, plaque rupture, prolonged focal coronary spasm, or other mechanisms contribute to the onset of thrombosis.
Electrocardiographic studies may be the only clinical clue that myocardial injury has occurred22–26). Changes consistent with acute pericarditis may be seen, and when there is more extensive injury, the electrocardiographic abnormalities may be similar to those produced by a myocardial infarction. Atrial and ventricular dysrrhythmias of all types may also occur and, undoubtedly, ventricular tachycardia and ventricular fibrillation may be the cause of death in some contusive injuries. Our case showed anterior wall infarction and premature ventricular contractions.
Elevated serum enzyme levels may be suggestive of myocardial injury, but these may be elevated as a result of other body trauma. Isoenzyme determinations, such as the MB creatine kinase (MB-CK) levels and the cardiac-specific lactic dehydrogenase (LDH) level, may be of value in differentiating cardiac contusion from other tissue injuries27). In our case, the LDH value was 1257 IU/l, SGOT IU/l, and CPK 365 IU/l.
Nuclear cardiac imaging may provide an additional means of detecting myocardial injury. Radioisotope myocardial scanning in dogs with experimentally-induced full thickness contusion of the heart has shown that the areas of injury can be identified28,29).
The clinical application of gated blood pool studies for the detection of impaired ventricular performance following myocardial contusion appears very promising. Further refinement of these techniques can be expected to allow earlier and more accurate diagnosis of myocardial injury.
More recently, 2-dimensional echocardiography has been shown to be of value in the early diagnosis of a number of functional and intracardiac abnormalities associated with cardiac contusions30,31). An echocardiogram of our case revealed an area of hypokinesia on the anteroseptal wall and dyskinesia on the apical wall.
Coronary arteriography can deliniate the site and nature of the coronary occlusion. The anatomic position of the coronary circulation pathways accounts for the fact that the left anterior descending coronary artery is the one most frequently affected in this type of chest trauma33). Coronary arteriograms and a ventriculogram of our case showed total occlusion of the left anterior descending coronary artery at the proximal segment, and area of hypokinesia on the anterobasal segment, and dyskinesia on the anterolateral and apical segment. Recanalization of an occluded artery may occur, and so a delay between the trauma and a coronary arteriography may falsely increase the number of cases with normal coronary arteres at angiography.
The treatment of myocardiac contusion, like that of myocardiac infarction, is symptomatic. A 1-to 3-week period of bed rest, gradual ambulation, and the prevention and early treatment of arrhythmias are the most important therapeutic measures. Anticoagulants should not be administered because they may precipitate bleeding within the myocardium or pericardial space. Other patients may develop cardiac failure which responds to medical treatment with diuretics, digoxin, and vasodilators (particularly the angiotension converting enzyme inhibitors). In patients with severe left ventricular damage the quality of life may remain poor despite medical treatment32) and an operation must be considered, for example, an aneurysm resection33) if myocardial damage is localized. In our case, diuretics were used with absolute bed rest.
The prognosis for complete or partial recovery of myocardiac contusion is generally excellent, but these patients require careful follow-up, since late complications, ranging from ventricular arrhythmias to cardiac rupture, may occur34). Coronary occlusion35,36), sinus of valsalva to right atrial fistula37), and cardiac aneurysms38) are occasional sequelae, and there is no agreement about whether or not surgical resection of the latter is required32).
SUMMARY
A case of post-traumatic coronary occlusion is presented. A 29-year-old male sustained a blunt chest trauma with secondary acute anterior myocardial infarction.
Coronary arteriograms and a left ventriculogram showed a total occlusion of the left anterior descending coronary artery at the proximal segment and left ventricular aneurysm, which we believe was secondary to chest trauma and not due to previous heart disease considering patient’s young age and negative past history.
We believe that all patients with chest trauma should have a complete physical examination, resting ECG, chest X-ray, echocardiogram, and CPK-MB. If abnormalies such as a rupture of any heart structure or myocardial infarction develop following blunt chest trauma, we consider it necessary to perform an angiographic study.