A Case of Noncardiogenic Pulmonary Edema by Ethanolamine Oleate

Article information

Korean J Intern Med. 1994;9(2):125-127
Department of Internal Medicine, Soonchunhyang University Hospital, Seoul, Korea
Address reprints to Choon Sik Park, M.D., Department of Internal Medicine. Soonchunhyang University Hospital, 657-58, Hannam-Dong, Yongsan-Ku, Seoul, 140-743, Korea

Abstract

Endoscopic injection of sclerosing agents is a strategy for control of esophageal varix bleeding. Five percent solution of ethanolamine oleate(EO) has been used as sclerosing agent. It is well known that intravascular injection of oleic acid induces acute respiratory failure in animal models. However, EO-induced noncardiogenic pulmonary edema has not been reported in human. We report a case of noncardiogenic pulmonary edema developed after therapeutic trial of EO as sclerosing agent for esophageal varix.

INTRODUCTION

Ethanolamine oleate (EO) is a sclerosing agent. Because it has less risk of allergic reactions or epithelial necrosis than other sclerosing agents, including sodium morrhuate or sodium tetradecyl sulfate12), perivascular injection has been used for therapeutic trial of saphenous, hemorrhoidal and variceal bleeding. However, oleic acid causes acute respiratory failure in animal models34). The pathologic and physiologic changes induced by oleic acid in animal lung were the same as seen in human adult respiratory distresss syndrome (ARDS). Thus, ARDS can develop in human, in case of intravascular administration of EO. On English literature reviews, we have not cases of ARDS by EO in humans. The following patient developed noncardiogenic pulmonary edema immediately after therapeutic trials with EO as sclerosing agent.

CASE REPORT

A 50-year-old man was admitted because of hematemesis and melena. He had been relatively well until 6 months prior to admission. One day before admission, hematemesis and melena abruptly developed. The family and social history were not contributory.

On admission, blood pressure was 120/80 mmHg, pulse rate 98/min, temperature 37.2°C and respiration rate was 15/min. On physical examination, he was alert, but chronically distressed. The conjunctivae were pale and sclera was icteric. On auscultation of chest, breathing sounds were normal, and the heart sound was regular without murmur. Examinations of the abdomen were normal.

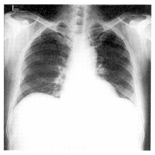
The chest PA at admission showed normal findings (Fig. 1). His laboratory values at admission were leukocyte count, 10,300/mm3; hemoglobin, 11.7g/dl, hematocrit, 35.7%; platelet count, 51,000/mm3; sodium 130mEq/L; potassium 2.9mEq/L; chloride 105mEq/L; calcium 7.7mg%; fasting blood sugar 283mg/dl; 2hours postprandial sugar 310mg/dl; total bilirubin 0.7mg%; GOT 23.6IU/L; GPT 24.9IU/L; alkaline phosphatase 95.0IU/L; total protein 6.3gm/dl; albumin 3.5gm/dl; BUN 14.0 mg/dl; creatinine 0.9mg/dl; and prothrombine time 100%.

Fig. 1.

Chest radiograph on admission shows normal findings.

On second admission day, a standard fiberscopic endoscope was inserted. Six ml of five percent EO was injected around the base of visible varices in the esophagus for bleeding control. Immediately after injection, he was comfortable. Thirty-six hours later, dyspnea developed suddenly. He denied sputum, hemoptysis and cough. On physical examination, he was alert, but acutely distressed. Vital signs were blood pressure 120/80 mmHg, pulse rate 118/min, and temperature 37.1°C. Respiratory rate was 34/min and labored. The jugular vein was not engorged. On auscultation, crackles were heard on entire lung fields. The heart sound was rapid, but regular without gallop sound. The chest PA showed diffuse infiltration of alveolar densities on entire lung fields(Fig. 2). At room air, arterial blood gas analysis revealed pH; 7.46, pCO2; 34.7 mmHg, pO2; 53.8mmHg, HCO3; 24.7mmol/L, and O2SAT; 88.2%. The patient received supportive treatments including oxygen inhalation with partial rebreathing mask without application of mechanical ventilation and PEEP. Two days later, dyspnea subsided gradually and the chest PA revealed normal findings completely.

Fig. 2.

Thirty-six hours after the injection of the ethanolamine oleate, chest PA shows diffuse alveolar infiltrates on both lung fields.

DISCUSSION

Since the first description of ARDS by Ashbaugh and colleagues5), many causes have been revealed to induce ARDS in human. Although the etiology are diverse, the end results of this process are common; damage to the alveolo-capillary membrane and increased permeability pulmonary edema6).

In travascular administration of free fatty acid is also a common cause of ARDS in animal model. EO is a kind of free fatty acid, therefore, EO can induce ARDS in human. The most common manifestation by free fatty acid is fat embolism7). Fat embolism (FE) is probably a common complication following bony trauma, although its frequency as a clinical disease is unknown. The capillary leak syndrome in FE presumably is due to lysis of the fatty aggregates by lung lipases to form free fatty acids8). However, many cases of FE have been reported in the absence of trauma. Clinically, non-traumatic FE may be so slight as to have no discernible effects, but occasionally it may be severe enough to cause hypoxemia9). A diagnosis of FE can be made, on the basis of exclusion and on the supportive findings indicated above. No single clinical feature or laboratory test establishes the diagnosis of the FE. Signs and symptoms of FE are seen in the vast majority of patients within seventy-two hours, but no immediately after trauma8). The delay may be caused by evolving effects of vasoactive substances released in the lung and by the conversion of neutral fats to toxic FFA. The increase in pulse rate, body temperature and tachypnea were clinical clues that the patient developed respiratory failure. This was supported by hypoxemia.

The patient in our case developed signs and symptoms compatible to FE thirty-six hours after injection of EO. The patient complained of dyspnea, tachypnea and palpitation. Physical examinations including rales on both lung fields and chest PA showing diffuse infiltrations suggested diffuse alveolar damage. Absence of jugular venous engorgement and gallop sounds suggested that the patient had normal cardiac function. Mental confusion, often out of proportion to arterial hypoxemia, is one of characteristic finding, of FES11) However, our case did not show mental confusion. There was no evidence of bony fracture in our case.

Five percent of EO, a sclerosing agent that has been available in Canada and abroad for many years, was recently approved by the US Food and Drug Administration(FDA)11). Adverse effects of sclerosing agents include dysphagia, retrosternal pain, esophageal ulcration, esophageal stricture, fever, pneumonia and bacteremia. Acute renal failure, esophageal perforation and anaphylaxis have also been reported12). Animal study by Iso and colleagues3) suggests that less than 0.5ml/kg used for sclerosing esophageal varices seems to have little untoward influences on pulmonary hemodynamics and morphology. Suzuki and colleagues4) reported that a transient decrease in the cardiac index, pulmonary artery pressure and pulmonary artery resistance were observed with the administration of the sclerosants. These data suggest that EO can be used safely even in case of intravascular administration below the dose of 0.5ml/kg. In our case, the dose administered was 0.1ml/kg. This dosage is much lower than that used in animal study. However, our human case developed ARDS. This discrepancy may be due to susceptibility of human pulmonary vascular endothelium to EO or the differences in sites of administration between our case and animal studies.

Additionally, Sigurdsson and colleagues13) reported that sclerosing agents frequently used for sclerotherapy of bleeding esophageal varices can cause severe lung injury, resembling that of the ARDS, if given intravenously to sheep. Methyl prednisolone slightly attenuates acute lung injury observed after intravenous injection of EO in animal case. Aspirin, on the other hand, appears to prevent this injury almost entirely. In our case, clinical manifestation improved without steroids and aspirin. There was no specific treatments and management was supportive. Therefore, the prognosis of ARDS induced by EO might be good. The authors report a case of FE resulting from the intravariceal administration of EO in a patient with esophageal varix bleeding.

References

1. Hedberg SE, Fowler DL, Ryan RL. Injection sclerotherapy of esophageal varices using ethanolamine oleate. Am J Surg 143:426. 1981;
2. Moreto M, Zaballa M, Suarez MJ, Ibanez S, Ojembarrena E, Castillo JM. Endoscopic local injection of ethanolamine oleate and thrombin as an effective treatment for bleeding duodenal ulcer: a controlled trial. Gut 33:456. 1992;
3. Iso Y, Kitano S, Iwanaga T, Hashizume M, Sugimachi K. Morphological and hemodynamic changes of the lung after injectio of 5% ethanolamine oleate into dogs. Eur Surg Res 21:175. 1989;
4. Suzuki N, Nakao A, Nonami T, Takagi H. Experimental study on the effects of sclerosants for esophageal varies on blood coagulation, fibrinolysis and systemic hemodynamics. Gastroenterol-Jpn 27:309. 1992;
5. Ashbaugh DG, Bigelow DB, Petty TL, Levine BE. Acute respiratory distress in adults. Lancet 2:319. 1967;
6. Fowler AA, Hamman RF, Good JT, Benson KN, Baird M, Eberle DJ, Petty TL, Hyers TM. Adult respiratory distress syndrome: risk with common predispositions. Ann Intern Med 99:593. 1983;
7. Coosling H, Pelligrini V. Fat embolism syndrome. Clin Orthop 165:68. 1982;
8. Gossling HR, Pellegrini VD. Fat embolism syndrome: A review of the pathophysiology and physiological basis of treatment. Clin Orthop 165:68. 1982;
9. Rosen JM, Braman SS, Faysal M, Hasan M, Teplitz C. Non-traumatic fat embolization. Arare cause of pulmonary infiltrates in an immunocompromised patient. Am Rev Respir Dis 134:805. 1986;
10. Hudson CD. Causes of the adult respiratory distress syndrome-clinical recognition. chest Med 3:202. 1982;
11. Kitano S, Iso Y, Koyanagi N, Higashi H, Sugimachi K. Ethanolamine oleate is superior to polidocanol (aethoxysklerol) for endoscopic injection sclerotherapy of esophageal varices: A prospective randomized trial. Hepato-gastroenterol 34:19. 1987;
12. Ethanolamine oleate for esophageal varices. Med Lett Drugs Ther 31:99. 1989;
13. Sigurdsson GH, Vallgren S, Christenson JT. Influence of aspirin and steroids on acute lung injury after i.v. injection of a sclerosing agent. Acta Chir Scand 155:163. 1989;

Article information Continued

Fig. 1.

Chest radiograph on admission shows normal findings.

Fig. 2.

Thirty-six hours after the injection of the ethanolamine oleate, chest PA shows diffuse alveolar infiltrates on both lung fields.