Pulmonary Pleomorphic Adenoma : Report of a Rare Case

Article information

Korean J Intern Med. 2007;22(2):122-124
Publication date (electronic) : 2007 June 30
doi : https://doi.org/10.3904/kjim.2007.22.2.122
Division of Endocrinology & the Metabolism Department of Internal Medicine Chonbuk National University Medical School, Jeon-ju, Korea.
Correspondence to: Tae Sun Park, M.D., Ph.D., Division of Endocrinology & the Metabolism Department of Internal Medicine Chonbuk National University Medical School 634-18, Keumam Dong, Duck-Jin Gu, Jeon-ju, 561-712, Korea. Tel: 82-63-250-1794, Fax: 82-63-254-1609, pts@chonbuk.ac.kr
Received 2006 July 26; Accepted 2006 November 12.

Abstract

Primary pleomorphic adenoma of the lung is a type of pulmonary adenoma that is extremely rare, and it predominantly occurs in the proximal airway. We recently experienced a case of a peripheral solitary pulmonary nodule that was discovered on the CT scans. We performed wedge resection with video-assisted thoracoscopic surgery and we firmly diagnosed this lesion as pulmonary pleomorphic adenoma according to the histology. We report here on a rare benign tumor that was diagnosed as a primary pleomorphic adenoma located in the lung periphery.

INTRODUCTION

Pulmonary adenomas usually include several diverse histological types such as bronchial adenoma, alveolar adenoma, papillary adenoma and adenomas of the salivary gland1, 2). Among these tumors, primary pulmonary pleomorphic adenoma is a neoplasm that shows some features of salivary gland-type pulmonary adenoma and also the pleomorphic histological appearance of several types of tumor tissues. This tumor is exceedingly rare, with less than 15 cases having been reported in the literature and they have predominately occurred in the proximal airway3). To the best of our knowledge, only a few cases of primary pleomorphic adenoma in the lung periphery have been reported. Herein, we report on this unusual case of radiographically and pathologically proven primary pulmonary pleomorphic adenoma.

CASE REPORT

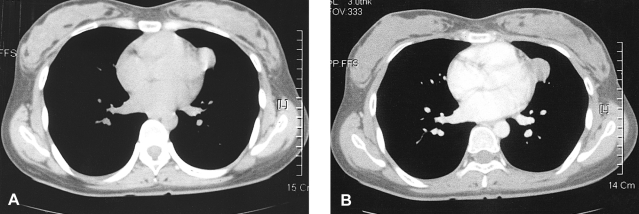
A 25-year old woman was referred to our hospital for evaluation of an abnormal chest radiograph. There was no prior family history of respiratory or salivary problems and she had no respiratory or salivary gland symptoms. The laboratory studies, including the peripheral blood counts and biochemical examinations, showed no abnormalities. The tumor markers were found to be within the normal ranges. The results of the pulmonary function tests and bronchoscopic examination were all normal. A chest radiograph showed the presence of a solitary pulmonary nodule that blunted the left cardiac border in the left lung field. A non-enhanced CT scan revealed the existence of a 2.5 × 2 cm, mild cystic mass abutting the mediastinum, which had the appearance of a pericardial or dermoid cyst (Figure 1A). Contrast-enhanced CT scans showed a mildly enhancing nodule with a well defined margin; this had the appearance of a fried egg (Figure 1B).

Figure 1

(A) The non-enhanced CT revealed a 2.5 × 2 cm, mild cystic lung mass near the mediastinum. (B) The contrast-enhanced CT scans showed a mildly enhancing nodule with well defined margin; this had the appearance of a fried egg.

The radiographic findings were suggestive of a benign process, so video-assisted thoracoscopic surgery was performed for the histological confirmation. On the gross pathology, the left lingular segment contained a well-demarcated solid mass that was light gray in color and 2.4×2.8×2.8 cm in size, and nodular appearance was observed on the cut surface. The light microscopic findings revealed that the nodule was a well circumscribed and encapsulated lesion. There were no visible bronchi connected to the tumor, and the tumor principally consisted of nodules formed from strands of several types of tumor cells with a hyalinized cartilaginous stroma (Figure 2).

Figure 2

The tumor showed biphasic morphology. Note the small ductules that contain mucinous materials, and these ductules merge with an area of myxohyaline stroma (×100).

DISCUSSION

Pleomorphic adenoma is also named mixed tumor, and this is the most common neoplasm of the salivary glands; it usually develops in the palate, tongue, nasopharynx or larynx. It can also occur as a type of pulmonary adenoma and especially in association with the bronchial glands4-7). However, pleomorphic adenoma of the lung is very rare, so that its incidence and etiology are unknown; there is no obvious sex predominance. This tumor is thought to constitute about 1% of all the cases of primary lung adenoma8).

The histological appearance of primary pulmonary pleomorphic adenoma is produced by a mixture of luminal-type ductal epithelial cells, myoepithelial tissues and tissues that have a myxochondroid, mucoid or chondroid appearance9, 10). Further, these tumors are typically well-circumscribed. Although the radiological findings are not well known, this tumor is thought to have a preference for a solitary, peripheral or subpleural location and to have a smooth margin. This tumor is slow growing and it occasionally has malignant potential5, 6).

In our case, it was very difficult to differentiate between a peripheral lung mass and a mediastinal mass on the radiographs because the tumor was located in the peripheral lung near the mediastinal pleura and it had the appearance of a fried egg. The contrast-enhanced CT scans showed a mildly enhancing nodule with a well defined margin; the appearance was similar to that of a benign mediastinal nodule. For a case like this, pathologic confirmation should be performed when abnormal radiographic findings are detected. However, several diverse possibilities for the differential diagnosis, including pulmonary pleomorphic adenoma, should be considered before conducting invasive diagnostic procedure.

In conclusion, we report here on a rare case of a primary pleomorphic adenoma that mimicked a mediastinal mass located in the lung periphery.

References

1. Fujimoto K, Muller NL, Sadohara J, Harada H, Hayashi A, Hayabuchi N. Alveolar adenoma of the lung: computed tomography and magnetic resonance imaging findings. J Thorac Imaging 2002. 17163–166. 11956369.
2. Shimosato Y. Histological typing of lung and pleural tumors (3rd edition, 1999): malignant epithelial tumors. Nippon Rinsho 2002. 60(Suppl 5)123–131. 12101640.
3. Moran CA, Suster S, Askin FB, Koss MN. Benign and malignant salivary gland-type mixed tumor of the lung: clinicopathologic and immunohistochemical study of eight cases. Cancer 1994. 732481–2490. 7513602.
4. Ashley DJ. In : Ashley DJ, ed. Tumors of the salivary glands. Evans' histological appearance of tumors 1978. London: Churchill Livingstone; 530–538.
5. Sakamoto H, Uda H, Tanaka T, Oda T, Morino H, Kikui M. Pleomorphic adenoma in the periphery of the lung: report of a case and review of the literature. Arch Pathol Lab Med 1991. 115393–396. 2012502.
6. Takeuchi E, Shimizu E, Sano N, Yamaguchi T, Yanagawa H, Sone S. A case of pleomorphic adenoma of the lung with multiple distant metastases: observations on its oncogene and tumor suppressor gene expression. Anticancer Res 1998. 182015–2020. 9677459.
7. Davis PW, Briggs JC, Seal RM, Storring FK. Benign and malignant mixed tumours of the lung. Thorax 1972. 27657–673. 4345984.
8. Payne WS, Schier J, Woolner LB, Minn R. Mixed tumors of the bronchus (salivary gland type). J Thorac Cardiovasc Surg 1965. 49663–668. 14274349.
9. Shanmugaratnam K, Sobin LH. The World Health Organization histological classification of tumours of the upper respiratory tract and ear: a commentary on the second edition. Cancer 1993. 712689–2697. 8453591.
10. Ang KL, Dhannapuneni VR, Morgan WE, Soomro IN. Primary pulmonary pleomorphic adenoma: an immunohistochemical study and review of the literature. Arch Pathol Lab Med 2003. 127621–622. 12708911.

Article information Continued

Figure 1

(A) The non-enhanced CT revealed a 2.5 × 2 cm, mild cystic lung mass near the mediastinum. (B) The contrast-enhanced CT scans showed a mildly enhancing nodule with well defined margin; this had the appearance of a fried egg.

Figure 2

The tumor showed biphasic morphology. Note the small ductules that contain mucinous materials, and these ductules merge with an area of myxohyaline stroma (×100).