Hepatic computed tomography changes caused by amiodarone

Article information

Korean J Intern Med. 2015;30(5):745-746
Publication date (electronic) : 2015 August 27
doi : https://doi.org/10.3904/kjim.2015.30.5.745
1Division of General Internal Medicine, Jichi Medical University Hospital, Shimotsuke, Japan
2Division of Community Medicine and Career Development, Kobe University, The Graduate School of Medicine, Kobe, Japan
Correspondence to Tsuneaki Kenzaka, M.D. Tel: +81-285-58-7394 Fax: +81-285-44-0628 E-mail: smile.kenzaka@jichi.ac.jp
Received 2014 December 1; Revised 2014 December 2; Accepted 2014 December 17.

An 80-year-old woman who had undergone aortic valve replacement for aortic valve stenosis was hospitalized for congestive heart failure and paroxysmal atrial fibrillation 4 years prior to the current presentation. At that time, she started receiving oral amiodarone, and she took amiodarone for 4 years. She visited our hospital because dementia had progressed over the previous 2 months, leaving her incapacitated and unable to care for herself. She presented with a blood pressure of 120/48 mmHg, a regular pulse of 52 beats per minute, and a body temperature of 35.6°C. Blood tests revealed liver dysfunction and hypothyroidism. Her laboratory findings were as follows: aspartate aminotransferase, 86 IU/L; alanine aminotransferase, 76 IU/L; total bilirubin, 1.82 mg/dL; thyroid-stimulating hormone, 91.29 μU/mL (reference range, 0.24 to 3.72); free thyroxine level, 0.31 ng/dL (reference range, 0.94 to 1.52); free triiodothyronine level, 0.92 pg/mL (reference range, 2.01 to 3.72); thyroglobulin antibody, < 40 U/mL; and thyroid peroxidase antibody, < 50 U/mL.

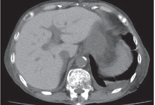
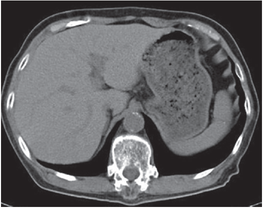
Abdominal plain computed tomography (CT) revealed an increased liver density (Fig. 1). These disorders were determined to be attributable to an overdose of amiodarone, and the drug was discontinued. Thyroid hormone replacement relieved her dementia; the dosage of thyroid hormone preparations was decreased over time and eventually discontinued. Moreover, the liver dysfunction gradually resolved. An abdominal plain CT scan performed 1 year later revealed a decrease in the high liver density (Fig. 2). During this period, no recurrence of paroxysmal atrial fibrillation was detected.

Figure 1.

Abdominal plain computed tomography scan. Markedly increased liver density is observed.

Figure 2.

Abdominal plain computed tomography scan performed 1 year later. The high liver density had decreased.

In patients receiving long-term oral administration of amiodarone, CT scans may reveal an increased liver density due to iodine deposition in this organ and phospholipidosis caused by disordered metabolism. One report described a correlation between elevated CT values in the liver and desethylamiodarone concentrations in tissue. CT scans and blood tests for liver and thyroid function are useful for monitoring adverse reactions to amiodarone.

Notes

No potential conflict of interest relevant to this article was reported.

Article information Continued

Figure 1.

Abdominal plain computed tomography scan. Markedly increased liver density is observed.

Figure 2.

Abdominal plain computed tomography scan performed 1 year later. The high liver density had decreased.