Takayasu arteritis and antiphospholipid antibody syndrome in an elderly woman

Article information

Korean J Intern Med. 2015;30(6):934-937
Publication date (electronic) : 2015 October 30
doi : https://doi.org/10.3904/kjim.2015.30.6.934
1Department of Internal Medicine, Soonchunhyang University Hospital, Seoul, Korea
2Department of Radiology, Soonchunhyang University Hospital, Seoul, Korea
Correspondence to Hyun-Sook Kim, M.D. Division of Rheumatology, Department of Internal Medicine, Soonchunhyang University Hospital, 59 Daesagwan-ro, Yongsan-gu, Seoul 04401, Korea Tel: +82-2-710-3214 Fax: +82-2-709-9554 E-mail: healthyra@schmc.ac.kr
Received 2014 September 18; Revised 2014 September 18; Accepted 2014 October 30.

To the Editor,

Takayasu arteritis (TA) is a chronic vasculitis of unknown etiology involving primarily the aorta and its main branches. TA predominantly affects females, and disease onset is usually in the second or third decades of life. However, over the last few decades, TA has affected both genders, at any age, of all ethnic groups worldwide [1]. Conventional digital subtraction angiography is the gold standard for detection of vascular complications (stenosis, occlusions, and/or aneurysms); the maximum standardized uptake value (maxSUV) obtained using fluorine-18 fluorodeoxyglucose (18F-FDG) positron emission tomography/computed tomography (PET/CT) affords high sensitivity and specificity for the detection of TA [2]. Antiphospholipid syndrome (APS) is characterized by obstetric and thrombotic complications caused by antiphospholipid antibodies [3]. An association between APS and TA is rather rare, and the temporal relationships of these two diseases remain known. We experienced a rare case of an elderly female simultaneously diagnosed with TA and APS. FDG-PET was used to detect large-vessel vasculitis.

A 72-year-old female was admitted to our department complaining of pain, a tingling sensation, and weakness in both arms. The symptoms had commenced several years prior but had recently become aggravated, accompanied by insomnia and weight loss. The body mass index was 19.3 kg/m2. On admission, the vital signs including body temperature were normal but physical examination revealed the absence of a pulse in the left radial artery. Her average blood pressure was 130 mmHg systolic and 90 mmHg diastolic in the other extremities. No tenderness or swelling was evident in either upper extremity and no neurological abnormality was noted.

The white blood cell count was 10,100/µL (normal range, 4,000 to 10,000); hemoglobin level was 12.4 g/dL (normal range, 12 to 16); platelet count was 301,000/mm3 (normal range, 130,000 to 450,000); prothrombin time was 10.6 seconds (normal range, 9.9 to 13.1); activated partial thromboplastin time was 48.6 seconds (normal range, 27.8 to 41.7); and aspartate aminotransferase/alanine transaminase levels were 18 U/L (normal range, 0 to 31) and 22 U/L (normal range, 0 to 31). The urea nitrogen level in blood was 17.1 mg/dL (normal range, 8 to 20), and the creatinine level was 0.49 mg/dL (normal range, 0.30 to 0.60). The erythrocyte sedimentation rate (ESR) was elevated at 120 mm/hr (normal range, 0 to 30) and C-reactive protein (CRP) level was 0.49 mg/dL (0.30 mg/dL). She was negative for both the B and C viral antigens. The level of rheumatoid factor was 12 IU/mL (normal range, 0 to 18). The anti-nuclear antibody titer was 1:160. She was negative for the anti-double stranded DNA, anti-Smith, anti-Ro/SSA, anti-La/SSB, and anti-neutrophil cytoplasmic antibodies.

Cervical spine magnetic resonance imaging showed that both cord compression and stenosis were absent, but upper extremity angiography revealed severe stenosis of both the subclavian and axillary arteries (Fig. 1). Arteries distal to the site of stenosis, including the brachial, radial, and ulnar arteries, exhibited decreased blood flow, with the development of collateral arteries in the surrounding region. CT aortography revealed uptake by the walls of both the thoracic and abdominal aortas, suggestive of a large-vessel vasculitis such as TA. A pulmonary embolism was also accidentally found. FDG-PET/CT was performed after injection of 12.1 mCi 18F-FDG to assess the vasculitis. Linear distinct FDG uptake was evident in both the subclavian and axillary arteries (maxSUV, 2.2), and the ascending aorta and aortic arch (maxSUV, 2.1), indicating vasculitis (Fig. 2). We found no evidence of malignancy. Although she denied any symptom of dyspnea, a pulmonary embolism was found by chance. CT revealed multiple embolisms of both pulmonary arteries (Fig. 3). The anti-cardiolipin antibody immunoglobulin M (IgM) titer was 14.10 IgM phospholipid (MPL) units (normal range, < 7.0). The anti-β2 glycoprotein-1 antibody IgM titer was 22.0 U/mL (normal range, < 5), and the anti-lupus anticoagulant antibody titer was 1.91 (normal range, 0 to 1.24). The level of protein S was 54.5% (normal range, 50.8 to 116.9), the level of protein C was 173% (normal range, 70 to 148), and the level of antithrombin III was 120% (normal range, 65 to 129). On follow-up blood tests run 12 weeks later, she was positive for anti-cardiolipin antibody IgM, at 11.80 MPL units (normal range, < 7.0).

Figure 1.

Arteriography of both upper extremities. Severe stenosis is evident in the right subclavian and axillary arteries (A, arrow), and in the left subclavian artery, with reduced blood flow distal to the lesion (B, arrow).

Figure 2.

(A) Fusion-coronal and (B, C) coronal images obtained by positron emission tomography (PET). Fluorine-18-fluorodeoxyglucose (FDG)-PET/computed tomography reveals stenosis of both subclavian arteries (A, arrows), and mild linear FDG activity along the wall of the aortic arch (B, arrowhead) and the descending thoracic aorta (C, arrowhead). Such activity is indicative of active vasculitis.

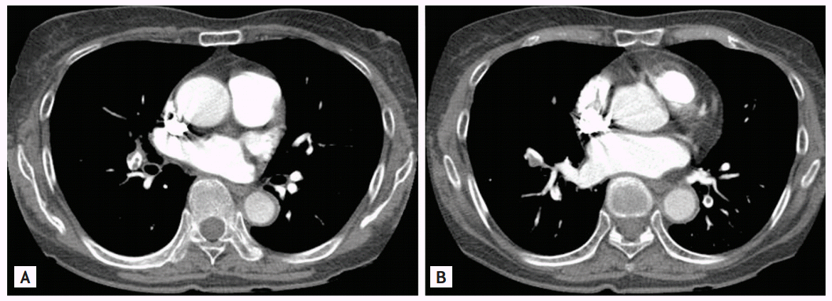
Figure 3.

(A, B) Axial images taken via computed tomography. Multiple embolisms are evident in both pulmonary arteries.

Using the American College of Rheumatology criteria, the patient was diagnosed with TA because she met three of the six diagnostic criteria: claudication, a decreased arterial pulse, and an abnormal upper extremity arteriogram. In addition, APS was diagnosed using the Sapporo criteria: simultaneous arterial thrombosis and elevated anti-cardiolipin antibody titers on two tests performed 12 weeks apart [3]. We commenced methylprednisolone at 250 mg/day, tapering to a maintenance dose of prednisolone at 7.5 mg/day. The symptoms rapidly improved, and the ESR and CRP level became normalized. Anticoagulant therapy (ribaroxaban 15 mg/day) was maintained.

TA involves primarily the aorta and its main branches. All large arteries can be affected. However, the vessels most frequently involved are the aorta and the subclavian and carotid arteries (60% to 90%) [1]. An absent or diminished pulse, vascular bruits, pain in an extremity, claudication, hypertension, neck pain, carotidynia, visual disturbances, abdominal and chest pain, dyspnea, and hemoptysis are possible clinical manifestations [1]. Laboratory data reflect the presence of an inflammatory process but are generally nonspecific. The earliest detectable radiological abnormality is thickening of vessel walls caused by inflammation; this becomes evident on magnetic resonance angiography, ultrasonography, and CT [2]. Conventional digital subtraction angiography is the gold standard for detection of stenosis, occlusions, and aneurysms [1]. Conventional angiography is less sensitive during the early inflammatory phase (which is potentially reversible); this technique detects only late, fixed changes in lumen diameter. Recent studies have suggested that new noninvasive imaging methods such as FDG-PET can usefully measure the extent of vascular inflammation in TA patients [2]. FDG-PET affords high sensitivity and specificity when used to detect TA; glycolytic metabolism increases in inflammatory lesions [4]. FDG-PET can be used to diagnose early-stage TA; a single scan allows the identification of all affected vessels [2]. In addition, FDG-PET is also useful to evaluate the efficacy of steroid therapy [4].

A cohort study of 28 Mexican TA patients found no antiphospholipid antibodies [5]. However, a few reports have in fact described an association between arteritis and APS. The temporal relationships of these two conditions remain unknown [4]. A Japanese report noted that a high titer of antiphospholipid antibodies may trigger large-vessel involvement in secondary APS. The affected vessels in TA patients are small to medium in size [5].

The goal of TA therapy is to suppress inflammation and prevent irreversible vessel damage. High doses of steroids are the mainstay of treatment, and are accepted as the most effective means by which to control the clinical manifestations and induce disease remission [1]. In advanced stages of disease, the aorta exhibits stenosis, occlusion, and/or aneurysm formation. Thus, initiation of steroid therapy during the early phase of arteritis is important to prevent irreversible structural changes to the aortic wall [4]. A high rate of relapse has been reported upon tapering of treatment. In such cases, early prescription of disease-modifying anti-rheumatic drugs is the standard of care; such drugs include methotrexate, azathioprine, cyclosporine A, micophenolate mofetil, cyclophosphamide, and leflunomide [1]. In addition, treatment of large-vessel vasculitis with tocilizumab, a humanized monoclonal anti-interleukin 6 (IL-6) receptor antibody, has allowed glucocorticoid doses to be reduced. Such therapy is effective because IL-6 levels in serum are elevated in patients with inflammatory TA, and correlate with the extent of disease activity. Rituximab has been efficacious in a small number of selected patients with large-vessel vasculitis; the drug depletes circulating naïve and memory B cells. Rituximab triggers immunoglobulin G Fc receptor (FcγR)-mediated antibody- and complement-dependent cytotoxicity [1]. In our case, anticoagulative and immunosuppressive drugs were prescribed to control both the TA and the APS. Steroids reduce disease activity and help to prevent any need for restenosis; anticoagulants prevent thrombotic events [5].

Notes

No potential conflict of interest relevant to this article was reported.

Acknowledgements

This work is supported by fund of the Soonchunhyang University.

References

1. de Souza AW, de Carvalho JF. Diagnostic and classification criteria of Takayasu arteritis. J Autoimmun 2014;48-49:79–83.
2. Andrews J, Al-Nahhas A, Pennell DJ, et al. Non-invasive imaging in the diagnosis and management of Takayasu’s arteritis. Ann Rheum Dis 2004;63:995–1000.
3. Santiago MB, Paz O. Rare association of antiphospholipid syndrome and Takayasu arteritis. Clin Rheumatol 2007;26:821–822.
4. Kaku B, Higuchi T, Kanaya H, et al. Usefulness of fluorine-18-fluorodeoxyglucose positron emission tomography in a patient with Takayasu’s arteritis associated with antiphospholipid syndrome. Int Heart J 2006;47:311–317.
5. Jishi AA, Krishnan PR, Almawi WY. Takayasu arteritis with high titre of antiphospholipid antibodies and MTHFR Polymorphism. J Thromb Thrombolysis 2005;20:47–50.

Article information Continued

Figure 1.

Arteriography of both upper extremities. Severe stenosis is evident in the right subclavian and axillary arteries (A, arrow), and in the left subclavian artery, with reduced blood flow distal to the lesion (B, arrow).

Figure 2.

(A) Fusion-coronal and (B, C) coronal images obtained by positron emission tomography (PET). Fluorine-18-fluorodeoxyglucose (FDG)-PET/computed tomography reveals stenosis of both subclavian arteries (A, arrows), and mild linear FDG activity along the wall of the aortic arch (B, arrowhead) and the descending thoracic aorta (C, arrowhead). Such activity is indicative of active vasculitis.

Figure 3.

(A, B) Axial images taken via computed tomography. Multiple embolisms are evident in both pulmonary arteries.