A Case of Glomerulonephritis in Association with Pyogenic Liver Abscess

Article information

Korean J Intern Med. 2001;16(3):214-217
Departments of Internal Medicine, Keimyung University School of Medicine, Taegu, Korea
*Pathology, Dongsan Kidney Institute, Keimyung University School of Medicine, Taegu, Korea
Address reprint requests to : Hyun Chul Kim, Dongsan Kidney Institute, Keimyung University Dongsan Hospital, 194 Dongsan Dong, Taegu, 700-712 Korea.

Abstract

Glomerulonephritis associated with visceral abscess is being increasingly recognized. The association of glomerulonephritis with visceral suppuration in the absence of endocarditis was first described by Whitworth and associates. Abscesses were most frequently located in the respiratory tract but have been reported at numerous other sites, including appendix, uterus, aorto-femoral bypass graft and cutaneous wound. This report documents the apparently rare occurrence of glomerulonephritis with acute renal failure in association with pyogenic liver abscess. The need for awareness of glomerulonephritis as a cause of acute renal failure in pyogenic liver abscess is highlighted.

INTRODUCTION

Glomerulonephritis is a well known complication of bacterial endocarditis. The association of glomerulonephritis with visceral suppuration in the absence of endocarditis was initially recognized by Whitworth and associates1). Beaufils and co-workers2) described 16 patients with visceral abscess and glomerulonephritis. Abscesses were most frequently located in the respiratory tract but have been reported at numerous other sites, including abdomen and uterus. To our knowledge, there has been no reported adult case in the literature documenting the occurrence of severe glomerulonephritis in association with pyogenic liver abscess. We describe here a case of glomerulonephritis with acute renal failure in pyogenic liver abscess.

Case Report

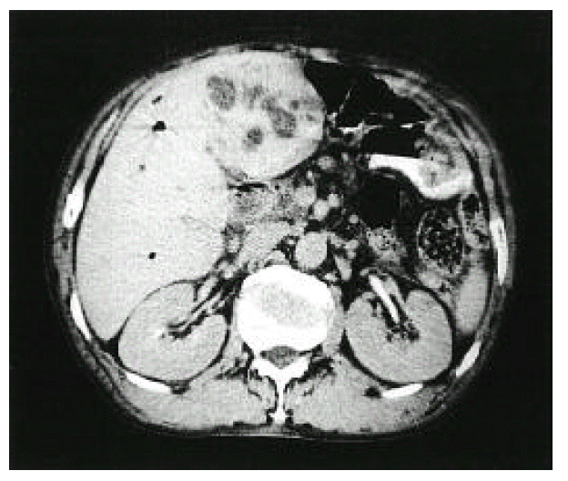
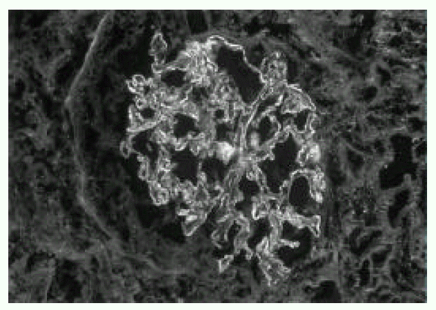
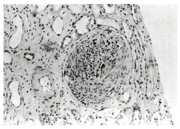
A 66-year-old man was admitted to Keimyung University Hospital because of decreased urine output and right upper quadrant pain. Seven years earlier, he had a Whipple’s operation for obstructive jaundice due to Ampulla of Vater cancer. At that time, the pathology report showed a moderately differentiated adenocarcinoma and biopsies of the regional lymph nodes showed no evidence of metastasis. At that time, renal function was normal and the urine contained no proteins or red cells. Two weeks before admission, the patient developed right upper quadrant dull pain, nausea, anorexia, myalgia, chills and fever. Four days prior to admission, he noticed gross hematuria, marked decrease in urine output and edema in lower extremities. On admission, his body temperature was 36.4°C and blood pressure was 110/60 mmHg. Daily urine output ranged 800–1200 mL. Face was puffy. He did not have icterus. His conjunctivae was slight anemic and revealed several petechial hemorrhages. Auscultation of the lung revealed bilateral basilar rales. No murmurs or frictions were heard. The liver was enlarged and tender. There was no splenomegaly or rash. There was marked costovertebral angle enderness. here was mild pretibial edema. Laboratory data on admission showed WBC 34,600/mm3, hemoglobin 8.3 g/dL, platelet count 95,000/mm3, BUN 16.4 mmol/L, serum creatinine 985,6 μmol/L, cholesterol 118 mg/dL, total bilirubin 3.4 mg/L, alkaline phosphatase 270 IU/L, SGPT 18 IU/L, and serum albumin 2.0 g/dL and creatinine clearance 2.5 ml/min. Urinalysis showed specific gravity 1.020, protein 2+, and urinary sediment containg two granular casts, many red blood cells and 10 white blood cells/HPF. The 24-hour urinary protein excretion was 2.4 gm and FENa was 1.7%. C3 level was 0.67 g/L (normal range: 0.8–1.2 g/L) and C4 level was 0.46 g/L (normal range: 0.2–2.5 g/L). Cryoglobulin was absent. The tests for hepatitis B and C, antinuclear antibody and rheumatoid factor were negative. Chest radiographs demonstrated bilateral perihilar pulmonary congestions. On admission, he was afebrile. He had obvious pulmonary edema as well as peripheral edema. Immediate hemodialysis resulted in a weight loss of 2 kg and respiratory improvement. Ultrasonographic examination of liver showed ill marginated cystic mass in left lobe. Computed tomography (CT) of the abdomen demonstrated 7×5cm sized multiple septated lower density lesions in medial segment of left lobe of the liver (Figure 1). Numerous blood cultures were negative. Initially the patient was treated with diuretics, albumin infusions and antibiotics (sulbactam/cefoperazone and aztreonam). On the 15th day, percutaneous needle biopsy of the kidney was performed. Light microscopy showed 17 glomeruli with two global sclerosis. The glomeruli showed endo-and extracapillary proliferation (Figure 2), with cellular crescents involving 25% of the glomeruli. The interstitium showed diffuse edema and no tubular necrosis. Immunofluorescent examination showed a diffuse granular staining with anti-IgG and anti-C3 along the capillary wall, and no staining with anti-IgM or anti-IgA (Figure 3). Needle aspiration of the liver was performed on the 19th hospital day, with the drainage of greenish pus material. Culture of the liver aspirates later grew Pseudomonas aeruginosa. Ticarcillin was given. The patient improved substantially. The levels of BUN and serum creatinine declined progressively and stabilized at 5.7 mmol/L and 176 μmol/L, respectively, by the 25th hospital day. One month after admission, the laboratory findings were : BUN 5.5 mmol/L, serum creatinine 176 μmol/L, hemoglobin 8.1g/dL. WBC 5,430/mm3 and platelet count 208,000/mm3. The 24-hour urinary protein excretion was 4.4 g/day. Follow-up CT showed almost complete resolution of previous abscess in the liver. He was discharged on the 40th hospital day with the serum creatinine level of 167 μmol/L.

Figure 1.

Abdominal CT showing 7×5 cm sized multiple separated lower density lesion in medial segment of left hepatic lobe.

Figure 2.

Renal biopsy showing a crescent formation and a glomerulus with a cellular proliferation (H & E stain, ×200)

Figure 3.

IF shows a diffuse granular staining with anti-IgG and anti-C3 along the capillary wall

Discussion

The present case report demonstrates the association between pyogenic liver abscess and glomerulonephritis with acute renal failure. The occurrence of glomerular lesions in such case may be overlooked because renal biopsy is rarely performed in patients with life threatening pyogenic infections, since tubular necrosis is usually considered the most cause of acute renal failure. The cause of acute renal failure in this patient favored a diagnosis of glomerulonephritis over tubular necrosis in view of the clinical finding of macroscopic hematuria at the onset and gradual development of oliguria and subsequent renal biopsy confirmed this. Occurrence of glomerulonephritis during bacterial infection is well documented in three circumstances : subacute bacterial endocarditis25), Staph, aureus infection to the ventriculoatrial shunt6) and Staph, aureus septicemia with acute endocarditis7). The association of glomerulonephritis with visceral abscess in the absence of endocarditis was initially recognized by Whitworth and associates1) and by Beaufils and co-workers2). In Beaufils’s series2), among 16 cases of visceral abscesses, the respiratory tract was the most frequent localization in eight cases. The remaining cases were due to appendiceal abscess in 2, septic abortion in 2, subphrenic abscess, acute osteomyelitis, aorto-femoral bypass and cutaneous wound.

There has been no reported case of glomerulonephritis in association with pyogenic liver abscess in a large series of visceral infection-associated glomerulonephritis according to a comprehensive review of literature by Coleman et al8). There has been only one report of solitary pyogenic liver abscess with associated glomerulonephritis in a neonate9). Thus, our case may be the first report documenting the occurrence of glomerulonephritis associated with the pyogenic liver abscess in a adult. A variety of bacteria have been implicated. Pseudomonas aeruginosa was the responsible organism in our case and 2 out of 8 cases of culture-proven visceral infection in Beaufils and co-worker’s series2). An immunopathogenesis was suggested by the frequent presence of hypocomplementemia, cryoglobulinemia and circulating immune complexes in all forms of infection-associated glomerulonephritis10). In our patient, depressed serum complement and the presence of diffuse granular deposits of C3 and IgG by immunofluorescent microscopy are highly suggestive of an immunologic process. The glomerular lesion associated with visceral abscess is usually a proliferative glomerulonephritis with varying degree of crescents.

Acute renal failure was the principal manifestation of renal involvement in Beaufils et al2), but proteinuria and/or hematuria also occurred in other series1112). Our patient had acute renal failure severe enough to require hemodialysis, and subsequent kidney biopsy showed endo- and extracapillary proliferation.

Of crucial importance is the realization that clinical and morphological recovery from infection associated glomerulonephritis is possible if the infection is quickly and completely eradicated10). Striking clinical improvement and rapid regression of renal failure was noted in our case with the resolution of the abscess in the liver by follow-up CT study. Pyogenic liver abscess may be responsible for a reversible glomerulonephritis with acute renal failure through an immunologic process.

References

1. Whitworth JA, Morel-Maroger L, Mignon F, Richet G. The significance of extracapillary proliferation : clinicopathological review of 60 patients. Nephron 16:1–19. 1976;
2. Beaufils M, Gibert C, morel-Meroger L, Sraer JD, Kanfer A, Meyrier A, Kourilsky O, Vachon F, Richet G. Glomerulonephritis in severe bacterial infections with and without endocarditis. Adv Nephrol 7:217–234. 1977;
3. Bell ET. Glomerular lesions associated with endocarditis. Am J Pathol 8:639. 1932;
4. Gutman RA, Stricker GE, Gilliland BC, Cutler RE. The immune complex glomerulonephritis of bacterial endocarditis. Medicine 51:1–25. 1972;
5. Keslin MH, Messner RP, Williams RC. Glomerulonephritis with subacte bacterial endocarditis, Immunofluorescent studies. Arch Int Med 132:578–81. 1973;
6. Black JA, Challacomve DN, Ockenden BG. Nephrotic syndrome associated with bacteremia after shunt operation for hydrocephalus. Lancet 2:921–4. 1965;
7. Tu WH, Shearn MA, Lee JC. Acute diffuse glomerulonephritis in acute staphylococcal endocarditis. Ann Intern Med 71:335–341. 1969;
8. Coleman M, Burnett J, Barratt J, Dupont P. Glomerulonephritis associated with chronic bacterial infection of a dacron arterial prosthesis. Clin Nephrol 20:315–320. 1983;
9. Beaufils M, morel-Margoger I, Sraer JD, Kanfer A, Kourilsky O, Richet G. Acute renal failure of glomerular origin during visceral abscesses. N Engl J Med 295:185–189. 1976;
10. DeFranco PE, Shook LA, Goebel J, Lee B. Isolitary hepatic abscess with associated glomerulonephritis. J Perinatol 20:384–386. 2000;
11. Forrest JW, Mills JLR, Buxton TB, Moore WC, Hudson JB, Ozawa T. Immune complex glomerulonephritis associated with Klebsiella pneumonia infection. Clin Nephrol 7:76–80. 1977;
12. Kaehny WD, Schwarz MI, McIntosh RM, Guggenheim SJ, Stanford R, Ozawa T. Post-pneumococcal immune glomerulonephritis and alveolitis. Clin Res 24:403A. 1976;

Article information Continued

Figure 1.

Abdominal CT showing 7×5 cm sized multiple separated lower density lesion in medial segment of left hepatic lobe.

Figure 2.

Renal biopsy showing a crescent formation and a glomerulus with a cellular proliferation (H & E stain, ×200)

Figure 3.

IF shows a diffuse granular staining with anti-IgG and anti-C3 along the capillary wall