Hydronephrosis by an Aberrant Renal Artery: A Case Report

Article information

Korean J Intern Med. 2003;18(1):57-60
*Departments of Internal Medicine and Diagnostic Radiology, Chonnam National University Medical School, Gwangju, Korea
Correspondence to: Ki Chul Choi, M.D., Department of Internal Medicine, Chonnam National University Medical School, Hak-dong 8, Dong-gu, Gwangju 501-757, Korea. E-mail: choikc@chonnam.ac.kr
Received 2002 September 24; Accepted 2002 November 30.

Abstract

Ureteropelvic junction obstruction is usually intrinsic and is most common in children. Aberrant renal arteries are present in about 30% of individuals. Aberrant renal arteries to the inferior pole cross anteriorly to the ureter and may cause hydronephrosis. To the best of our knowledge, although there are some papers about aberrant renal arteries producing ureteropelvic junction obstruction, there is no report of a case which is diagnosed by the new modalities, such as computed tomography angiogram (CTA) or magnetic resonance angiogram (MRA). We describe a 36-year-old woman with right hydronephrosis. Kidney ultrasonogram and excretory urogram revealed right hydronephrosis. CTA and MRA clearly displayed an aberrant renal artery and hydronephrosis. The patient underwent surgical exploration. For the evaluation of hydronephrosis by an aberrant renal artery, use of CTA and MRA is advocated.

INTRODUCTION

Ureteropelvic junction (UPJ) obstruction is the most common form of upper urinary tract obstruction in children1). Most obstructions at the UPJ are caused by an intrinsic stenosis26).

The variations in renal arterial supply are best understood when embryology of the renal vasculature is considered7). Multiple renal arteries have been reported to occur in approximately 30% of cases, with a preponderance on the left side8). With respect to the presence of multiple renal arteries, by a study of Sampaio et al.9), an inferior “accessory” or “aberrant” artery was found to cross anteriorly to the UPJ in 6.8% of the cases. In few specimens did this inferior accessory artery pass close to the UPJ. Therefore, the presence of an anomalous vessel crossing the UPJ and causing obstruction is a very rare finding21).

We describe a 36-year-old woman with hydronephrosis due to UPJ obstruction by an aberrant renal artery and review the literature in brief.

CASE

A 36-year-old woman was admitted to our hospital with intermittent right flank pain for 4 years. The pain-free interval had been shortened when she sought medical attention. The pain was dull and confined to the right upper quadrant anteriorly and posteriorly. The pain was most often experienced during the later hours of the day, especially after ingestion of large quantities of fluid. She had been treated at a local clinic in the past for urinary tract infection with right flank pain and weakness. Physical examination revealed blood pressure of 110/80 mmHg and the presence of costovertebral-angle tenderness. Urinalysis were within normal limits (WBC 0-1/HPF, RBC 0-1/HPF). Biochemical analysis revealed blood urea nitrogen level of 11.0 mg/dL and serum creatinine level of 0.8 mg/dL.

Kidney ultrasonogram showed a marked dilatation of the right pelvocalyceal system and right proximal ureter. However, the left kidney showed normal appearance. Excretory urogram revealed a marked right hydronephrosis with dilated calyces due to ureteropelvic junction obstruction (Figure 1). Computed tomography angiogram (CTA) clearly displayed the aberrant renal artery which originated from the aorta below the normal right renal artery (Figure 2). A source image of magnetic resonance angiogram (MRA) also showed a severe hydronephrosis of the right kidney and smooth obstruction of the right ureteropelvic junction due to extrinsic compression by an aberrant renal artery which originated from the aorta, crossing anteriorly to the ureteropelvic junction (Figure 3). Retrograde pyelogram demonstrated linear indentation of the proximal ureter (Figure 4). Tc-99m DTPA renal scan revealed a markedly delayed excretion of the right kidney. After furosemide infusion, the delayed right kidney excretion was somewhat improved (Figure 5).

Figure 1.

Excretory urogram after 30 min. shows severe dilatation of the right pelvocalyceal system with cortical thinning and smooth obstruction of the right ureteropelvic junction.

Figure 2.

CTA with a maximum intensity projection technique demonstrates two renal arteries originating from the aorta. An inferior aberrant artery (arrow) is crossing over the ureteropelvic junction.

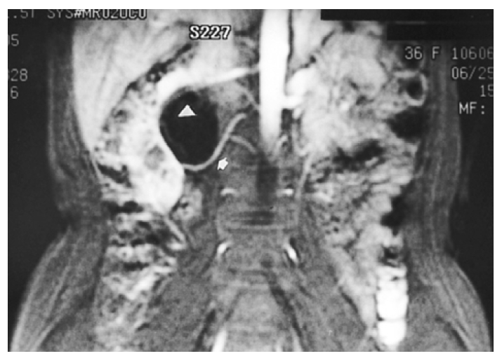
Figure 3.

A source image of MR angiogram shows aberrant renal artery (arrow) and extrinsic compression at the right ureteropelvic junction. Dilated pelvocalyceal system (△) is seen with low signal intensity.

Figure 4.

Retrograde pyelogram demonstrates extrinsic indentation (arrow) at the right ureteropelvic junction with severe hydronephrosis.

Figure 5.

Prefurosemide images reveal marked right pelvocalyceal dilatation with slowly accumulating tracer activity. After intravenous infusion of furosemide, the left renal collecting system shows prompt washout, but tracer continues to accumulate on the right. On time-activity curves, after the furosemide infusion, there is prompt washout of pelvocalyceal activity in the left kidney, but delayed washout in the right kidney.

The patient underwent surgical exploration via an anterior approach which revealed a slightly ptotic, mobile, right kidney which was normal in size, with a marked hydronephrotic pelvis froman aberrant renal artery and vein crossing the ureteropelvic junction, proceeding to the lower pole and compressing the ureteropelvic junction against the lower pole of the kidney. A dismembered pyeloplasty was performed, with the pelvis anastomosed to the ureter in front of the aberrant renal artery.

DISCUSSION

Aberrant renal vessels have been encountered with increasing frequency over the past decade. This is partly attributable to the more widespread use of angiography and other imaging modalities in recent years.

Some knowledge of the embryology of the renal vessels is necessary to understand the frequent anomalies that may occur. With complicated development of the kidneys, through the three stages of pronephros, mesonephros and metanephros, and the migration of the definitive kidney (metanephros) from the pelvic region to the region of the posterior abdominal wall (in the lumbar area), the renal blood supply undergoes successive changes in its upward migration. Since arterial degeneration begins at the cephalic pole of the metanephros, the segmental branch to the lower renal pole is the one most likely to remain as an accessory artery10).

The association between lower polar aberrant vessels and a dilated renal pelvis was appreciated and this, acting in the nature of a physical obstruction to the urine flow, seemed to provide a logical explanation for the condition11). However, it has been suggested that the obstruction may result from a neuromuscular incoordination of the ureteropelvic junction and the vascular obstruction is a secondary rather than a primary event1214). However, the work of Johnson15) who studied the manometric pressures in such cases, and the electron microscopic evidence presented by Notley16) appear to favor mechanical obstruction.

The symptom of vascular ureteropelvic junction obstruction may include colicky mid-abdominal pain, nausea and vomiting17). Also, the patient may have significant weight loss and palpable ptotic kidney12). However, our patient did not present such symptoms or signs, except an abdominal pain.

New imaging modalities have been utilized specifically to evaluate crossing vessels at UPJ. Older modalities, such as intravenous urography and angiography, have essentially been replaced by endoluminal ultrasonography and CTA. Endoluminal ultrasonography is invasive and time-consuming. A significant advantage of the technique is that it can quantify the number and location of vessels and aid in directing an incision away from vessels18).

CTA is much less invasive in comparison with angiography. The image can be reconstructed three-dimensionally in longitudinal fashion, providing accurate information about vessels as small as 1 mm in diameter19). MR imaging, including MR urography and angiography, is an effective diagnostic method to evaluate various renal diseases. MR angiography can rapidly and accurately depict renovascular diseases without using contrast medium and ionizing radiation20). A source image of MRA shows renal parenchyme as well as a dilated pelvocalyceal system. In the present case, the source image of MRA clearly displayed the relationship between hydronephrosis and an aberrant renal artery. On the other hand, the number, location, morphology and size of the aberrant renal vessels were accurately depicted by CTA. Therefore, CTA and MRA are considered to be more non-invasive and more powerful diagnostic methods to evaluate an aberrant renal artery than conventional angiography or CT.

Several methods of surgical treatment have been reported. Currently, the most widely accepted surgical procedure is dismembered pyeloplasty, with the anastomosis performed anterior to the obstructing vessel4, 6, 12). The success rate of pyeloplasty is over 90 percent21).

References

1. Snyder HM III, Lebowitz RL, Colodny AH, Bauer SB, Retik AB. Ureteropelvic junction obstruction in children. Urol Clin North Am 7:273–289. 1980;
2. Jewett HJ. Stenosis of the ureteropelvic juncture: congenital and acquired. J Urol 44:247–258. 1940;
3. Nixon HH. Hydronephrosis in children: a clinical study of 78 cases with special reference to the role of the aberrant renal vessels and the results of conservative operations. Br J Surg 40:601–9. 1953;
4. Anderson JC. Hydronephrosis: a 14 years’ survey of results. Proc R Soc Med 55:93–99. 1962;
5. Uson AC, Cox LA, Lattimer JK. Hydronephrosis in infants and children. JAMA 205:327–332. 1968;
6. Stephens FD. Ureterovascular hydronephrosis and the “aberrant” renal vessels. J Urol 128:984–987. 1982;
7. Cerney JC, Kadsch D. Aberrant renal arteries. Urology 2:623. 1973;
8. Williams PL, Bannister LH, Berry MM, Collins P, Dyson M, Dussek JE, Ferguson MWJ, eds. Gray’s Anatomy 38th Edth ed. New York: Churchill Livingstone. p. 1826–1827. 1995.
9. Sampaio FJB, Possos MARF. Renal artery: anatomic study for surgical and radiological practice. Surg Radiol Anat 14:113. 1992;
10. Hinman F. Atlas of Urosurgicai Anatomy 1st Edth ed. Philadelphia: W.B. Saunders. p. 242–243. 1993.
11. Struthers NW. The role of manometry in investigation of pelvicureteral function. Br J Urol 41:129–162. 1969;
12. Addnonizio JC, Patel RC. Innocent aberrant renal vessels producing ureteropelvic junction obstruction. Urology 16:176–180. 1980;
13. Lich R, Maurer JE. Congenital hydronephrosis. JAMA 157:577. 1955;
14. Hanley HG. Hydronephrosis. Lancet 2:644–667. 1960;
15. Johnson JH. The pathogenesis of hydronephrosis in children. Br J Urol 41:724–734. 1969;
16. Notley RG. Musculature of the human ureter. Br J Urol 42:724–727. 1970;
17. Baraasch WF. Clinical considerations of intermittent hydronephrosis caused by anomalous renal blood vessels. JAMA 52:1384–1386. 1909;
18. Gupta M, Smith AD. Crossing vessels: Endourologic Implications. Urol din North Am 25:289–293. 1998;
19. Galanski M, Prokop M, Chavan A, Schaefer CM, Jandeleit K, Nischelsky JE. Renal artery stenosis: spiral CT angiography. Radiology 189:185–192. 1993;
20. Blandino A, Gaeta M, Minutoli F, Scribano E, Vinci S, Famulari C, Pandolfo I. MR pyelography in 115 patients with a dilated renal collecting system. Acta Radiol 42:532–536. 2001;
21. Walsh PC, Retik AB, Wein AJ, Darracott Vaughan E, eds. Campbell’s urology Philadelphia: WB Saunders; 1911. 2004. 2002.

Article information Continued

Figure 1.

Excretory urogram after 30 min. shows severe dilatation of the right pelvocalyceal system with cortical thinning and smooth obstruction of the right ureteropelvic junction.

Figure 2.

CTA with a maximum intensity projection technique demonstrates two renal arteries originating from the aorta. An inferior aberrant artery (arrow) is crossing over the ureteropelvic junction.

Figure 3.

A source image of MR angiogram shows aberrant renal artery (arrow) and extrinsic compression at the right ureteropelvic junction. Dilated pelvocalyceal system (△) is seen with low signal intensity.

Figure 4.

Retrograde pyelogram demonstrates extrinsic indentation (arrow) at the right ureteropelvic junction with severe hydronephrosis.

Figure 5.

Prefurosemide images reveal marked right pelvocalyceal dilatation with slowly accumulating tracer activity. After intravenous infusion of furosemide, the left renal collecting system shows prompt washout, but tracer continues to accumulate on the right. On time-activity curves, after the furosemide infusion, there is prompt washout of pelvocalyceal activity in the left kidney, but delayed washout in the right kidney.