The Korean Journal of Internal Medicine

Search

Close

Kim, Kim, Jung, Park, Jeong, Choi, and Seong: Aortic intramural hematoma after thrombolysis in a patient with acute massive pulmonary embolism

Aortic intramural hematoma after thrombolysis in a patient with acute massive pulmonary embolism

Min Su Kim, Kyu Seop Kim, Il Soon Jung, Jae-Hyeong Park, Jin-Ok Jeong, Si Wan Choi, In-Whan Seong
Received February 19, 2009;       Revised April 03, 2009;       Accepted April 08, 2009;
To the Editor,
Aortic intramural hematoma (AIH) is an acute aortic syndrome with no communication between the AIH and the aortic lumen [1]. One possible pathogenic mechanism is rupture of the vasa vasorum and hemorrhage into it. In this case report, we present a patient with acute massive pulmonary embolism (PE) who developed an AIH after thrombolytic therapy. In this patient, the AIH may have been a complication associated with thrombolysis.
A 78-year-old woman was admitted to our emergency department complaining of dyspnea lasting 20 days. She had been medicated with oral antihypertensive drugs for 5 years. On admission, her blood pressure was 88/50 mmHg, and bilateral jugular venous engorgements were noted. An electrocardiogram revealed right bundle branch block, and the chest X-ray was normal. The echocardiogram taken in the emergency room showed a dilated right ventricle (RV) and marked RV dysfunction, with a D-shaped left ventricle. Spiral computed tomography (CT) of the chest demonstrated multifocal intraluminal filling defects in the distal main pulmonary artery, the truncus anterior, and proximal vascular dilatation in the lobar and interlobar arteries (Fig. 1).
The patient was diagnosed with massive PE and was treated with intravenous recombinant tissue plasminogen activator (rt-PA, 100 mg for 2 hours). After thrombolysis, anticoagulation therapy with intravenous unfractionated heparin was continued. Her blood pressure increased with the treatment. However, the patient complained of severe epigastric pain about 10 hours after thrombolytic therapy. A follow-up CT scan revealed newly developed high-attenuation areas indicating eccentric mural thickening of the descending aorta, and she was diagnosed with acute Stanford type B AIH (Fig. 2). The CT scan also showed newly developed soft tissue swelling with high-attenuation nodular lesions in the left breast and axilla, consistent with subcutaneous hematomas.
To avoid expansion of the AIH and hematoma, anticoagulation therapy was discontinued immediately, and a vena cava filter was inserted into the inferior vena cava. The patient was treated with intravenous labetalol followed by oral antihypertensives. The hematoma had nearly resolved on the follow-up CT scans taken 10 days after stabilization. We restarted anticoagulation after confirming that the AIH had improved. The patient was discharged without other complications.
Thrombolysis or embolectomy is the treatment of choice in patients with RV dysfunction and shock associated with acute PE. In 2003, the Management Strategies and Prognosis of Pulmonary Embolism-3 Trial (MAPPET-3) group compared treatment with rt-PA plus heparin and heparin alone in a double-blind trial of 256 PE patients with RV dysfunction but without hypotension or shock. The MAPPET-3 trial found that rt-PA given with heparin improved the clinical course of these patients [2]. However, thrombolysis is also associated with a significant increase in the risk of fatal or disabling hemorrhagic complications [2]. In the International Cooperative Pulmonary Embolism Registry, in 2,454 consecutive patients with acute PE, the incidence of intracranial hemorrhage after thrombolytic therapy was about 3% [3]. However, there is no case report of AIH as a complication of thrombolytic therapy.
Compared with classic aortic dissection, AIH is believed to involve hemorrhage into the medial layer of the aortic wall, in the absence of an intimal tear. There is some debate about the pathogenesis of AIH, although rupture of the vasa vasorum in the aorta is considered the most likely mechanism [1]. However, sporadic cases show accidental development of a typical AIH associated with percutaneous intervention, supporting the presence of a primary intimal-medial tear in AIH [4]. In this patient, the AIH developed after thrombolytic and anticoagulation therapy without aortic manipulation, suggesting that the pathogenic mechanism was rupture of the vasa vasorum.
Treatment of an AIH in patients requiring anticoagulation therapy remains problematic, and there are no definitive data regarding the use of anticoagulants in these patients. Discontinuation of anticoagulants is common practice. In one report, by Canadas et al. [5], the continued use of anticoagulants was not associated with progression of AIH. However, only three patients were included, and one of them had been treated with stenting for the newly developed aortic dissection. We decided to discontinue the anticoagulant and insert a vena cava filter into the inferior vena cava. Because the AIH was confined to the descending aorta (Stanford type B), she was treated with antihypertensives. After medical stabilization, the maximal diameter of the AIH thickness decreased from 6.0 to 1.7 mm. Anticoagulation therapy was restarted after resolution of the AIH.
In our case, Stanford type B AIH developed after use of a thrombolytic agent and anticoagulation therapy for the massive PE. The patient was treated successfully with medical stabilization, which included discontinuation of the anticoagulant therapy, insertion of a vena cava filter, and strict blood pressure control.
Conflicts of Interest
Conflicts of Interest

No potential conflict of interest relevant to this article is reported.

References
References
1. Song JK. Diagnosis of aortic intramural haematoma. Heart 2004;90:368–371PMID : 15020502.
[Article] [PubMed] [PMC]
2. Konstantinides S, Geibel A, Heusel G, Heinrich F, Kasper W. Management Strategies and Prognosis of Pulmonary Embolism-3 Trial Investigators. Heparin plus alteplase compared with heparin alone in patients with submassive pulmonary embolism. N Engl J Med 2002;347:1143–1150PMID : 12374874.
[Article] [PubMed]
3. Goldhaber SZ, Visani L, De Rosa M. Acute pulmonary embolism: clinical outcomes in the International Cooperative Pulmonary Embolism Registry (ICOPER). Lancet 1999;353:1386–1389PMID : 10227218.
[Article] [PubMed]
4. Park JH, Rhee KS, Ko JK. A case report of type I acute aortic intramural hematoma with localized dissection as a complication of renal artery stenting. Catheter Cardiovasc Interv 2005;65:552–555PMID : 15973672.
[Article] [PubMed]
5. Cañadas MV, Vilacosta I, Ferreirós J, Bustos A, Díaz-Mediavilla J, Rodríguez E. Intramural aortic hematoma and anticoagulation. Rev Esp Cardiol 2007;60:201–204PMID : 17338886.
[Article] [PubMed]
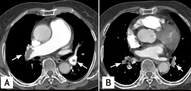
Figure 1
(A, B) Chest computed tomography reveals extensive intraluminal filling defects in the right main pulmonary artery. The lobar, interlobar, and segmental branches are consistent with acute pulmonary embolism (arrows).
kjim-28-619-g001
Figure 2
(A) Computed tomography (CT) performed on admission showed a normal descending thoracic aorta. However, newly noted eccentric mural thickening of the descending thoracic aorta was noted on the CT taken a day after thrombolytic therapy. (B) The thickening was consistent with aortic intramural hematoma; the maximal thickness of the eccentric aortic lesion is 6.0 mm. (C) The aortic intramural hematoma disappeared after medical stabilization with antihypertensives.
kjim-28-619-g002
hanmi Memo patch yungjin
daewoongbio ics samyangbiopharm

Go to Top