The Korean Journal of Internal Medicine

Search

Close

Lim, Ahn, Joo, Pyo, and Ko: A mass-like lesion encasing the aortic arch and descending aorta: immunoglobulin G4-related periaortitis

A mass-like lesion encasing the aortic arch and descending aorta: immunoglobulin G4-related periaortitis

Chewan Lim1, Chul-Min Ahn1, Hyun-Chel Joo2, Jung Yoon Pyo3, Young-Guk Ko1
Received October 1, 2020;       Revised October 15, 2020;       Accepted October 15, 2020;
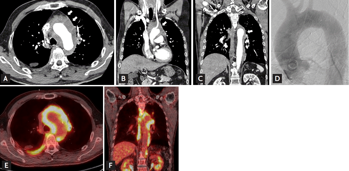
A 68-year-old man was referred to our hospital owing to dyspnea and a low-attenuation mass-like lesion encasing the aortic arch extending to the descending thoracic aorta observed on chest computed tomography (CT) (Fig. 1A-1C).
He had experienced weight loss (5 kg) for 3 months. His initial vital signs were stable. The laboratory tests showed a normal complete blood count, elevated erythrocyte sedimentation rate (ESR; 120 mm/hr) and C-reactive protein (CRP) level (85 mg/L), and a normal procalcitonin level.
Transthoracic echocardiogram and coronary angiography, including an aortogram, revealed no specific dyspnea-related findings (Fig. 1D). Additional laboratory tests were conducted for the differential diagnosis of infective diseases, rheumatologic diseases, hematologic diseases, and other malignancies.
The patient tested negative for an interferon-gamma releasing assay and viral and rheumatoid markers. The serum immunoglobulin G (IgG) and IgG4 levels were elevated at 2,021 and 247 mg/dL, respectively.
Positron emission tomography showed intense fluorodeoxyglucose uptake in the mediastinal soft tissue infiltrative lesion (Fig. 1E and 1F). Incisional biopsy was performed (Fig. 2A and 2B). Pathological analysis revealed lymphoplasmacytic infiltration with fibrosis and an elevated IgG4 level (64 cells/high-power field) and IgG4/IgG ratio (82%), suggestive of IgG4-related periaortitis (Fig. 2C and 2D).
He was referred to the rheumatologic department; steroid treatment was initiated (prednisolone 20 mg twice daily). At the first follow-up visit, his dyspnea had markedly improved, and the serum ESR and the CRP and IgG4 (124 mg/dL) levels were normalized. Steroid therapy will be continued with follow-up CT after 3 months.
IgG4-related periaortitis is a rare autoimmune disease associated with systemic fibroinflammation. Early diagnosis using imaging modalities with histopathological confirmation is important to avoid irreversible organ damage requiring surgical or endovascular intervention, such as marked aneurysmal dilation or rupture of the aorta. This case suggests that IgG4-related periaortitis should be considered in patients with abnormal mass-like lesions surrounding the aorta.
Conflicts of Interest
Conflicts of Interest

No potential conflict of interest relevant to this article was reported.

Figure 1.
Imaging study. (A, B, C) Aorta computed tomography (CT) images showing a low-attenuation mass-like lesion encasing the aortic arch extending to the descending thoracic aorta (arrows). (D) Aortogram showing absence of significant luminal narrowing. (E, F) Positron emission tomography-CT image showing intense fluorodeoxyglucose uptake in the mediastinal soft tissue infiltrative lesion, involving the aortic arch and extending to the abdominal aorta, and right posterior pleural thickening.
kjim-2020-536f1.tif
Figure 2.
Tissue biopsy and histological analysis. (A) A dense and thick mass (arrow) is encircling the ascending aorta (arrowhead) and aortic arch. (B) Incisional biopsy is performed for tissue confirmation. (C) Lymphoplasmacytic infiltration with fibrosis is observed in the histological analysis image, suggestive of immunoglobulin G4 (IgG4)-related disease (H&E, ×100). (D) Immunohistochemical staining image showing multiple IgG-positive plasma cells, with an increased IgG4/IgG ratio of approximately 82% (> 70% is strongly suggestive of IgG-4 related disease) (×200).
kjim-2020-536f2.tif
hanmi Memo patch yungjin
ics samyangbiopharm

Go to Top