The Korean Journal of Internal Medicine

Search

Close

Jeong, Yang, Son, and Sohn: Diabetic ketoacidosis and acute pancreatitis in a patient with agenesis of the dorsal pancreas

Diabetic ketoacidosis and acute pancreatitis in a patient with agenesis of the dorsal pancreas

Chaiho Jeong, Ye Seul Yang, Hyun-Shik Son, Tae-Seo Sohn
Received August 13, 2021;       Revised August 20, 2021;       Accepted August 23, 2021;
A 14-year-old girl without any previous disease presented to us with abdominal pain and vomiting. Her blood pressure and body temperature were 125/81 mmHg and 37.1°C, respectively. The laboratory findings were as follows: white blood cell count 27,530 × 109/L, hemoglobin 11.7 g/dL, platelet count 408 × 109/L, arterial blood gas analysis (pH 6.906, HCO3 1.7 mEq/L, anion gap 37.3), serum glucose 421 mg/dL, hemoglobin A1c 9.7%, total cholesterol 500 mg/dL, triglyceride 2,051 mg/dL, high-density lipoprotein cholesterol 16 mg/dL, low-density lipoprotein cholesterol 59 mg/dL, amylase 979 U/L, lipase 987.5 IU/L, serum ketone 1.4 mmol/L, serum insulin 9.85 μIU/mL, and C-peptide 0.83 ng/mL. She was diagnosed with diabetic ketoacidosis (DKA) accompanied by acute pancreatitis, and received intensive treatment including hydration, insulin administration, and fasting. Enhanced abdominal computed tomography performed on hospitalization day 14 revealed the absence of pancreatic tissue in the body and tail of the pancreas (Fig. 1). Magnetic resonance cholangiopancreatography was also performed (Fig. 2). Agenesis of the dorsal pancreas (ADP) is an extremely rare congenital anomaly characterized by the absence of the pancreatic neck, body, and tail. Most cases are asymptomatic, and the diagnosis is usually incidental during evaluation for an unrelated issue. Abdominal pain, pancreatitis, weight loss, diabetes, and jaundice are the most commonly associated symptoms and diseases. According to published reports, approximately 50% of patients with ADP also have concomitant hyperglycemia. DKA and severe hypertriglyceridemia complicated by pancreatitis in a patient with ADP has rarely been reported, while ADP initially presenting with DKA accompanied by pancreatitis in early adolescence has never been described earlier.
Conflicts of Interest
Conflicts of Interest

No potential conflict of interest relevant to this article was reported.

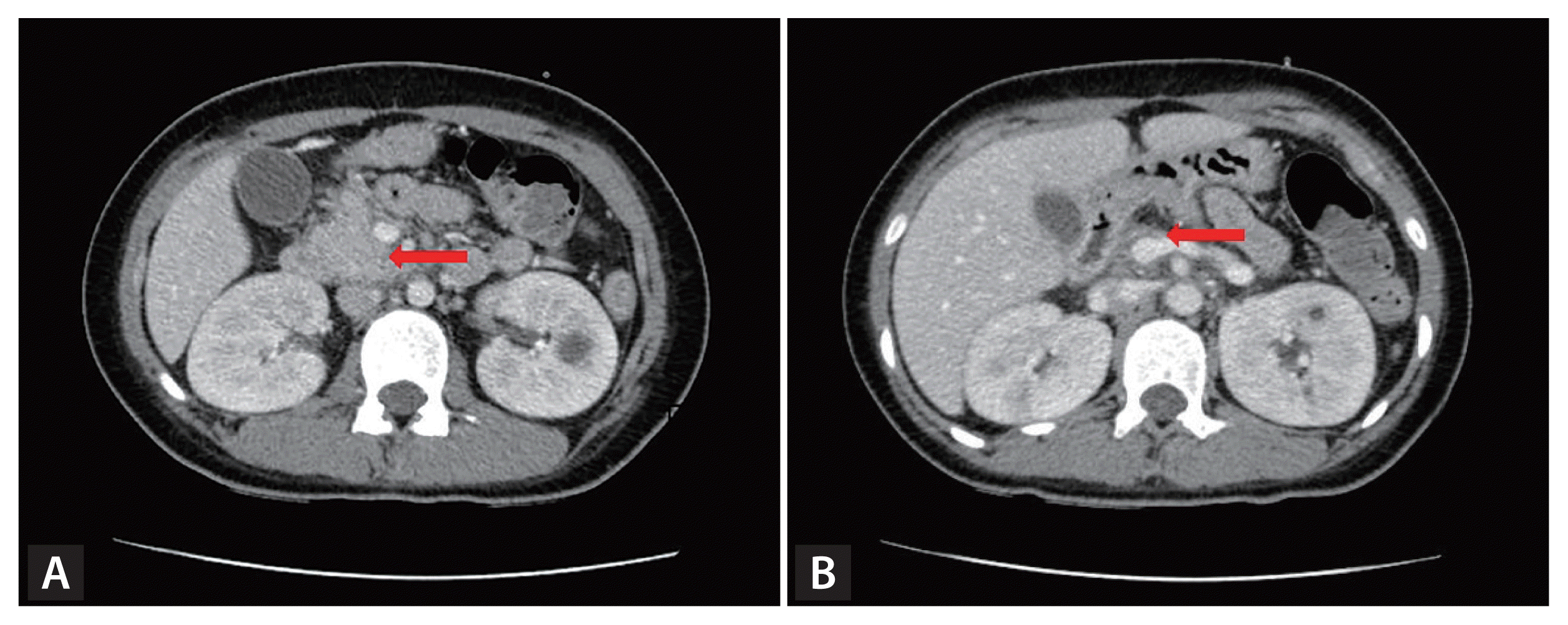
Figure 1
Contrast abdominal computed tomography scan shows the pancreatic head (A, red arrow), while the pancreatic body and tail are absent (B, red arrow). The head of the pancreas is diffusely enlarged with perilesional fat infiltration.
kjim-2021-374f1.gif
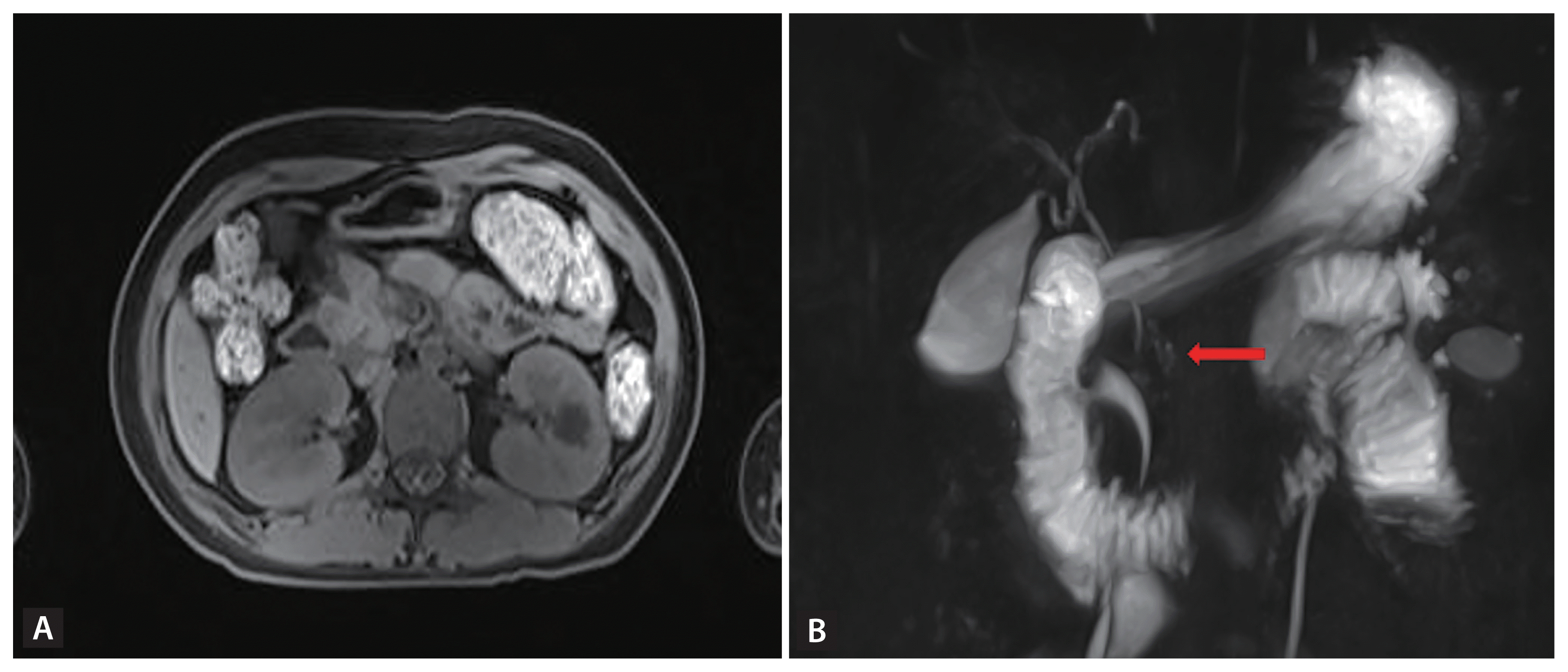
Figure 2
(A) Magnetic resonance cholangiopancreatography reveals the agenesis of dorsal pancreas. (B) Absence of the dorsal duct of Santorini is observed. In contrast the common bile duct and ventral duct of Wirsung (red arrow) are seen clearly.
kjim-2021-374f2.gif
Memo patch ics samyangbiopharm

Go to Top