The Korean Journal of Internal Medicine

Search

Close

Lee, Lim, Lee, Lee, and Kim: Findings suggestive of Fanconi syndrome and multiple myeloma

Findings suggestive of Fanconi syndrome and multiple myeloma

Hwa-Young Lee1, Sung Gyul Lim2, Han Sang Lee2, Won-Ae Lee3, So Mi Kim2
Received January 2, 2025;       Revised January 19, 2025;       Accepted February 7, 2025;
A 52-year-old man was referred to the nephrology department following a health examination showing decreased renal function with proteinuria. He had no significant underlying disease except for intermittent analgesic use for back pain. Initial laboratory findings were as follows: Na+-K+-Cl--, 139-3.6-109 mmol/L; HCO3- 21mmol/L; blood urea nitrogen/creatinine, 11/1.75 mg/dL; protein/albumin, 7.0/4.4 g/dL; calcium, 9.1 mg/dL; uric acid, 1.6 mg/dL; phosphorus, 1.2 mg/dL; glucose, 79 mg/dL; HbA1c, 5.2 %.
Urinalysis revealed 3+ proteinuria 3+ glucose, with a spot urine protein/creatinine ratio of 10.5 g/g. These results indicated normal anion gap acidosis, normoglycemic glycosuria, hypophosphatemia, and hypouricemia, consistent with Fanconi syndrome (FS).
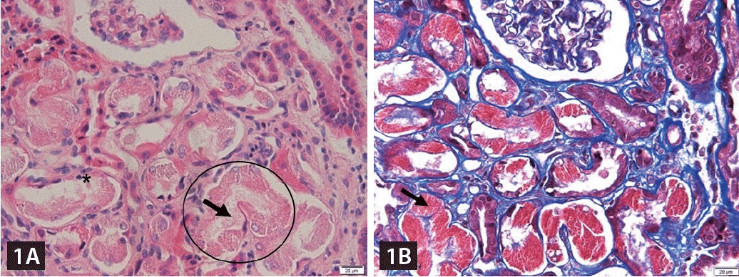
Additional blood and urine tests and kidney biopsy were performed to determine the potential causes of renal insufficiency with FS. Urine protein electrophoresis revealed an M-spike in the beta-globulin region, whereas serum immunoglobulin electrophoresis revealed an abnormal sedimentation line in the kappa region. The free kappa/lambda ratio was elevated to 1,133.86. The kidney biopsy showed abundant granular/elongated, and weakly eosinophilic crystals in the proximal tubular cell cytoplasm and the tubular lumen (Fig. 1). Ultrastructural examination clearly demonstrated electron-dense crystals with various shapes, ranging from rhomboid to pentagonal and elongated (Fig. 2). The bone marrow biopsy included 18% plasma cells, leading to the definitive diagnosis of multiple myeloma, light chain disease, kappa type.
FS is commonly caused by genetic disorders, exposure to heavy metals, or medications, but it can rarely present as a latent manifestation of light chain disease. The crystalline inclusions produced by light chains can lead to cytotoxicity in proximal tubular epithelial cells, resulting in proximal tubulopathy, whereas crystal-laden phagocytes can lead to tubular atrophy and interstitial fibrosis through tissue injury, as shown here. In patients with proximal tubulopathy accompanied by renal insufficiency and proteinuria, multiple myeloma, particularly light chain disease, should be considered in the differential diagnosis.
Notes
Notes

Acknowledgments

The authors would like to extend their sincere gratitude to Ryan Hosung Lee of Cornerston Collegiate Academy for his invaluable assistance in proofreading and editing this manuscript.

Notes
Notes

CRedit authorship contri

Hwa-Young Lee: conceptualization, methodology, resources, investigation, writing – original draft; Sung Gyul Lim: review & editing, visualization; Han Sang Lee: conceptualization, methodology, review & editing; Won-Ae Lee: methodology, resources, writing – original draft; So Mi Kim: review & editing, visualization, supervision

Conflicts of Interest
Conflicts of Interest

Conflicts of interest

The authors disclose no conflicts.

Notes
Notes

Funding

None

Figure 1.
Light microscopic findings of kidney biopsy specimen. (A) Proximal tubular cells contain abundant weakly eosinophilic crystals in which are granular and elongated that distort the cell architecture (circle), obscure the apical cell membrane (asterisk) and fill the tubular lumen (arrow) (hematoxylin and esosin stain, original magnification × 400). (B) A trichrome stain highlights distinct crystals (arrow) that are needle shaped and brightly red-stained (Masson’s trichrome stain, original magnification × 400).
kjim-2025-004f1.tif
Figure 2.
Electron microscopic findings of kidney biopsy specimen. (A) On low power view, a proximal tubular cell is engorged with randomly oriented crystals (arrow) (original magnification, × 1,000). (B) On higher power view, individual crystals exhibit vague striation and a range of shapes from rhomboid (asterisk) to pentagonal (double asterisk) and elongated (arrow) (original magnification, × 3,000).
kjim-2025-004f2.tif
hanmi ckdpharm. Memo patch
yungjin daewoongbio jw

Go to Top