INTRODUCTION
Lymphocytic interstitial pneumonitis (LIP) is a morphological subdivision of interstitial lung disease1) which is considered by some authors to represent a premalignant lymphoproliferative disorder2). LIP is characterized as bilateral lower lobe infiltration and pleomorphic lymphohistiocytic infiltration within the pulmonary interstitium, ranging from widened septa to confluent masses. Regarding its pathogenesis, LIP results from defects in immune surveillance, viruses and/or delayed hypersensitivity mechanism. LIP is commonly associated with human immunodeficiency virus, Epstein-Barr (E-B) virus, Sjögren’s syndrome and other autoimmune disorders3). Not only E-B virus but also HIV is occasionally associated with lymphoproliferative diseases such as LIP, lymphomatoid granulomatosis (LYG) and non-Hodgkin’s lymphoma4). Therefore, differential diagnosis should be done with LYG associated with E-B virus and other lymphoproliferative disorders. We report a case of LIP associated with E-B virus in systemic lupus erythematosus and Sjögren’s syndrome with a review of the literature.
CASE REPORT
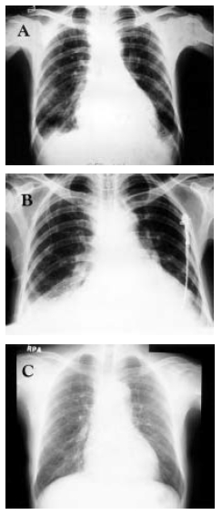
A 50-year-old woman was admitted due to high fever and progressive dyspnea for 20 days. For ten years, she suffered from arthritis which was treated irregularly, without specific evaluation, at a private clinic. Eleven days before, she visited another hospital because of fever, cough, sputum and dyspnea with mild pleuritic chest pain. She was managed under the impression of tuberculous pleurisy, but she did not improve with anti-tuberculous medication. A chest radiography showed right pleural effusion with bilateral pulmonary infiltrations (Figure 1A). Cytology of pleural fluid revealed mesothelial cells, histiocytes and neutrophils. Serum creatinine level was 2.2 mg/dL. She was brought to this hospital for further evaluation and management.
On admission, she complained of fever, cough and dyspnea. Her body weight was 33 kg and her vital signs were as follows: temperature 38.6°C; heart rate 120/min; and respiratory rate 28/min. At that time, she also had keratoconjunctivitis sicca and xerostomia. On physical examination, she had bibasilar crackling rales. Pale conjunctiva, hepatomegaly by two fingers width below the costal margin and pretibial pitting edema were also discovered. But, clubbing of finger and cyanosis were absent.
A chest radiograph showed pneumonic infiltrations in both lower lung fields with pleural effusion (Figure 1B). Laboratory studies revealed hemoglobin of 8.5 g/dL, hematocrit of 24%, white blood cell count of 3900/mm3 (13% of band form, 85% of segment form), platelet count of 148,000/mm3 and ESR of 72 mm/hr. Serum creatinine was 2.5 mg/dL, protein was 7.2 g/dL and albumin was 2.5 g/dL. Urinalysis showed proteinuria (+2) and hematuria (+4). Antinuclear antibody was positive (1/640, speckled pattern), but anti-DNA antibody was negative. Tests for anti-Ro, anti-La and anti-RNP antibodies were positive. The level of C3 and C4 were decreased to 25 mg/dL (normal 45–100 mg/dL) and 9 mg/dL (normal 10–40 mg/dL), respectively. C-reactive protein was 7.2 mg/dL (normal <0.5) and rheumatoid factor was 52 IU/mL (normal <20). Direct Coombs’ test was positive, but indirect Coombs’ test was negative.
Peripheral blood smear demonstrated normochromic normocytic anemia with mild leukopenia and thrombocytopenia. Blood culture grew nothing. Ziehl-Neelson stains for acid-fast bacilli of her sputum were negative and cultures for M. tuberculosis were negative 3 consecutive times. On 24-hour urine collection, protein was 3.0 g/dL and creatinine clearance was decreased to 20 mL/min. Determination of urinary Bence-Jones protein revealed no abnormality. Immunoelectrophoresis of serum proteins revealed polyclonal increase at γ-region, especially IgG lane. A pleural fluid study disclosed that straw-colored fluid contained 127 leukocytes/μL (neutrophil 26%, lymphocyte 74%), protein 1.7 g/dL, lactic dehydrogenase 972 mg/dL and glucose 37 mg/dL and had a high likelihood of being an exudate. AFB smear and culture of pleural fluid did not show any organism. Test for IgM antibody to Epstein-Barr (E-B) virus was positive in the serum. Antineutrophil cytoplasmic antibodies (ANCA), Human Immunodeficient Virus (HIV) and Cytomegalovirus (CMV) assays were all negative.
Pulmonary function test showed normal ventilatory pattern with reduced diffusion capacity: forced vital capacity (FVC) 1.90 L (84% of predictive value), forced expiratory volume in one second (FEV1) 1.63 L (94% of predictive value), FEV1/FVC 113%, total lung capacities (TLC) 2.78 L (88% of predictive value) and diffusing capacity of the lung DLCO) 6.5 mL/min/mmHg (54% of predictive value). Echocardiography revealed left ventricular dysfunction with moderate amount of pericardial effusion.
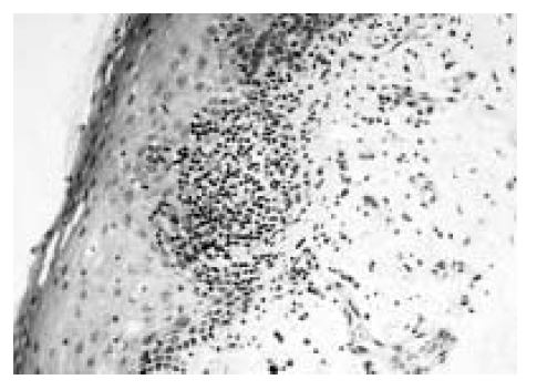
Sialography of salivary gland showed multiple-sized ectatic changes in acina without dilatation and filling defect in the main duct (Figure 2). On biopsy finding of the lower lip, hyperkeratosis and spongiosis were seen, and lymphocytes infiltrated the dermis with exocytosis to the epidermis which was compatible with Sjögren’s syndrome (Figure 3).
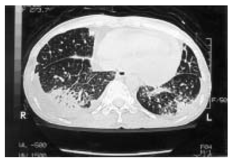
High-resolution computed tomography of the chest demonstrated bilateral consolidations in both lower lung zones, associated with bilateral pleural effusion and moderate amount of pericardial effusion (Figure 4).
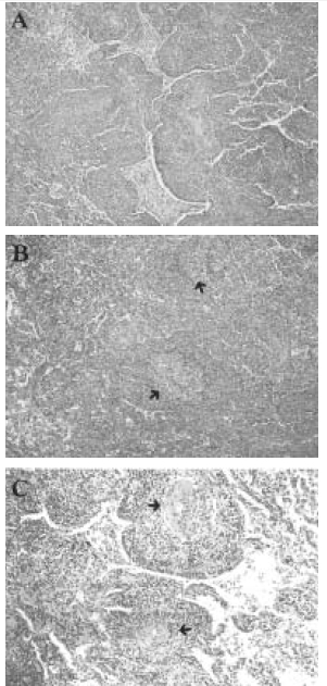
An open lung biopsy was performed at the right lower lobe of the lung. There was dense lymphoplasmacytic infiltration in the interstitium of the lung parenchyme (Figure 5A) and the pleura forming reactive lymphoid follicles with germinal centers (Figure 5B). Multifocal areas of vasculitis (Figure 5C) and interstitial fibrosis were shown without any fibroblastic plug or honeycombing cystic change. The immunohistochemical stains failed to reveal monoclonality of these lymphocytic infiltrations as below; LCA (CD45RB) (+), CD3 (+) and L26 (CD20) (+). In situ hybridization of paraffin block tissue with anti-Ebstein-Barr virus antibody (NCL-EBV-K, Novocastra Lab, UK) was positive.
The patient was treated with prednisolone of 1 mg/kg/day for one month. But, she had no improvement on radiologic finding and showed generalized edema as an adverse effect of steroids. With prednisolone tapering, she was also added oral cyclophosphamide 50 mg/day. Following this therapy, her condition significantly improved in subjective symptoms, physical signs and objective pulmonary function and radiologic findings (Figure 1C).
The inflammatory laboratory markers were still slightly increased, but pulmonary function test and chest radiograph were nearly normalized.
DISCUSSION
Lymphocytic interstitial pneumonitis (LIP), first described by Carrigton and Liebow3) in 1966, is the term used to describe diffuse interstitial infiltrations of the lung, predominantly consisting of a polymorphic mixture of mature lymphocytes and plasma cells. It is characterized radiologically by bilateral lower lobe infiltrates, and histologically by a polymorphic lymphoplasma cell infiltration of the pulmonary interstitium.
The cause of LIP is unknown, yet various hypotheses have been suggested, including autoimmune phenomenon such as immune complex diseases; a viral infection such as HIV and E-B virus; chronic stimulation of the reticuloendothelial system by an unknown antigen and a delayed hypersensitivity reaction to an unknown stimulant.
It may be idiopathic or associated with acquired or congenital abnormal immunologic responses, connective tissue disease (especially systemic lupus erythematosus and Sjögren’s syndrome), allogenic bone marrow transplantation, primary biliary cirrhosis, Hashimoto’s thyroiditis and/or myasthenia gravis. Some patients have been reported to have an associated monoclonal gammopathy, usually IgM, but occasionally IgG in type5).
Although SLE can occasionally be associated with usual interstitial pneumonia (UIP) and various lymphomas, it is not usually known to coexist with LIP6). Our patient developed SLE characterized by fever, multiple arthritis, pericarditis, proteinuria and hemolytic anemia, and a positive ANA test which was done according to the American College of Rheumatology Criteria for the diagnosis of SLE. LIP is frequently associated with Sjögren’s syndrome and the presence of rheumatoid factor1).
The hypothesis that E-B virus is related to the pathogenesis of LIP seems quite logical, since this virus is known to provoke polyclonal lymphoid proliferations4) and has been demonstrated in the salivary glands of patients with Sjögren’s syndrome7). Some researchers have reported the finding of the E-B virus genome in the lungs of patients with LIP, suggesting EBV may be the antigen that promotes the proliferation of B lymphocytes in the interstitium9).
Nevertheless, it has not been determined whether E-B virus is essential in the development of non-AIDS associated LIP. The observation of E-B virus as the only etiologic agent in LIP, together with the variety of systemic disorders associated with LIP, the diversity of the infiltrated cell populations and the variability of the clinical course is consistent with the view of LIP as a morphological expression of a variety of different disease processes8). Further investigation will be required to determine whether EBV is indeed etiologic in a subset of LIP (for example, patients with Sjögren’s syndrome) or its presence simply reflects polyclonal expansion of lymphocytes carrying a latent E-B virus infection. In this case, the presence of the E-B virus genome was detected by anti-E-B virus antibody using in situ hybridization technique. However, the pathogenesis of LIP is unknown, although HIV RNA or E-B virus DNA has been demonstrated in some cases by in situ hybridization and polymerase chain reaction (PCR).
LIP seems to occur more commonly in women than in men. The age range of patients with LIP varies and the median age of patients was 56 years. The most common symptoms of LIP are cough, dyspnea and significant loss of weight. The shortness of breath develops gradually with progression of the disease. Symptoms of fever, malaise and pleuritic chest pains occur less commonly5).
The chest radiographs of LIP patients vary and most often reveal bibasilar diffuse infiltrates and sometimes nodular lesions. Soft and fluffy alveolar densities are present less commonly. Though pleural effusion is infrequent, it suggests a complication of lymphoma or collagen vascular diseases. Honeycombing and pulmonary hypertension are also late manifestations10).
Pulmonary function studies of LIP have revealed both a restrictive defect and a low CO diffusing capacity11).
A definite diagnosis of LIP can be based on lung biopsy findings, especially in the early stage. Microscopically, the LIP lung shows a predominantly interstitial cellular infiltrate that diffusely involves the distal parenchyma12). The infiltrate is composed of a mixture of mature small lymphocytes, plasma cells and histiocytes that widen the alveolar septa and surround small airways and vessels. Interstitial lymphoid nodules, often containing germinal centers are common. Interstitial lymphoid cells by immunohistochemical staining generally show up as T cells, except in the germinal centers where they stain as B cells13). Staining of immunoglobulin light chains consistently shows polyclonality in the plasma cells12). Loose aggregates of epithelioid histiocytes and poorly formed sarcoid-like granulomas, often containing multinucleated giant cells can also be seen. A variable amount of fibrosis accompanies the cellular infiltrate, and type II pneumocyte hyperplasia is usually prominent, but necrosis is absent.
Pseudolymphoma, hypersensitivity pneumonia, nonspecific interstitial pneumonia (NSIP) and a number of lymphoproliferative disorders such as small lymphocytic lymphoma, chronic lymphocytic leukemia, plasma cell myeloma, angioimmunoblastic lymphadenopathy and lyphomatoid granulomatosis (LYG) enter the differential diagnosis of LIP. Pseudolymphoma of the lung is histologically similar to LIP, but radiographically different because it causes isolated mass-like densities rather than diffuse infiltrate. Pseudolymphoma is minimally symptomatic or asymptomatic.
Lymphomatoid granulomatosis differs pathologically in that there is prominent vascular involvement, extensive parenchymal necrosis and the presence of atypical lymphoid cells. Also, LYG destroys the lung in a “cross-country” fashion rather than being confined to the intestitium. In this case, a condition with multifocal vasculitis is difficult to distinguish from LYG, but immunohistochemically, the possibility of LYG is decreased because monoclonality is not predominant.
The clinical course of LIP is not well documented. Possible outcomes include resolution followed by corticosteroid therapy, progression to pulmonary fibrosis, superimposed lung infection, cor pulmonale or uncommonly lymphoma develop5).
Steroid therapy has been helpful in a number of patients. Cyclophophamide14) and chlorambucil have been used in a few cases. Those patients treated accordingly have shown a good response to corticosteroid treatment, which led to complete resolution of the lung infiltrates15). In summary, we experienced a case of lymphocytic interstitial pneumonitis associated with the immunological expression of E-B virus in SLE and Sjögren’s syndrome.


PDF Links
PubReader
ePub Link
Full text via DOI
Download Citation
Print





