INTRODUCTION
Henoch-Schönlein purpura is characterized by palpable purpura, arthritis, nephritis and gastrointestinal involvement. This disease is common in children and runs as a benign, self-limited illness. Adults have more fatal complications, poor prognosis and require more aggressive treatment1). Corticosteroids are used in patients with recurrent skin lesions, abdominal pain with gastrointestinal bleeding or nephropathy, and cytotoxic agents are used as corticosteroid-sparing agents. Some cases reported a successful resolution of symptoms refractory to corticosteroid and immunosuppressive drugs using plasmapheresis, immunoglobulin or dapsone. Thalidomide is a promising drug for severe, unusual, dermatologic diseases2). Thalidomide has immune modulating effects to reduce cytokine synthesis and to inhibit tumor necrosis factor-alpha synthesis3).
In this report, we describe an adult patient who had refractory Henoch-Schönlein purpura with severe gastrointestinal bleeding, arthritis and peripheral mononeuropathy. The symptoms were refractory to prednisolone, immunosuppressive drugs and plasmapheresis. We applied thalidomide and symptoms were improved.
CASE REPORT
A 20-year-old woman was admitted to hospital because of arthralgia on both ankles and palpable purpura on both legs for 5 days. Physical examination showed multiple purpura on legs and buttock and swelling and tenderness on both elbows and ankles (Figure 1). Laboratory data showed normal blood counts, blood chemistry and urine analysis. C-reactive protein was 3.7 mg/dL and ESR was 21 mm/hr. Tests for antinuclear antibody, rheumatoid factor and antineutrophil cytoplasmic antibody (ANCA) were negative. Serum concentrations of immunoglobulin (Ig)G, IgA, IgM, C3 and C4 were normal. A biopsy specimen of skin lesions showed leukocytoclastic vasculitis and immunofluorescent study revealed IgA depositions on vessels (Figure 2).
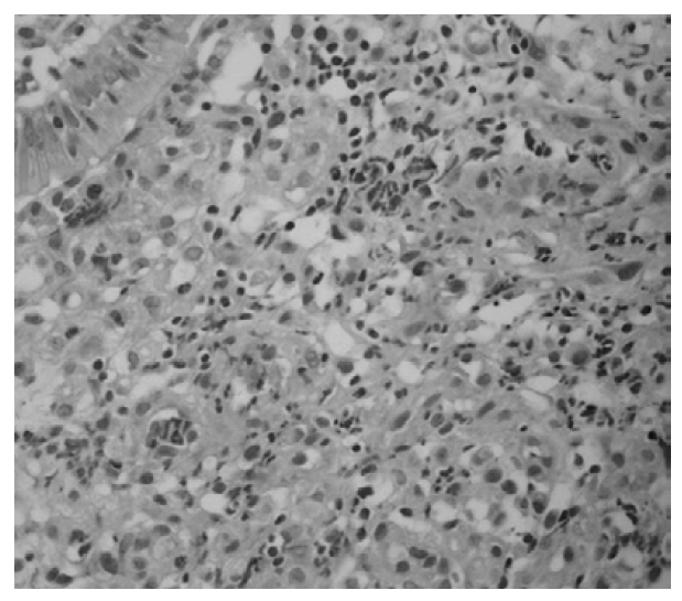
She was treated with prednisolone 50 mg/day (1 mg/kg/day) for control of arthralgia which caused the limited motion of both knee joints. Arthralgia was improved immediately but purpura spread to the upper trunk and face and improved slowly one month later. After six weeks, prednisolone was tapered to 20 mg/day. On the seventh week of hospitalization, she experienced abdominal pain and hematochezia and the hemoglobin was decreased to 7.0 g/dL. Gastrofibroscopic examination revealed hemorrhagic gastritis and colonoscopy revealed multiple ulcerations (Figure 3). Biopsy specimens from the colon showed ulcerations with neutrophils infiltration and fibrin thrombi formation in vessels (Figure 4). Intravenous methyl-prednisolone pulse therapy was not effective for abdominal pain and hematochezia. She was treated with plasmapheresis for 3 days and cyclophosphamide 750 mg (500 mg/m2), followed by prednisolone 30 mg/day. Purpura, arthralgia and hematochezia were much improved and then prednisolone was tapered to 15 mg/day. On the 67th day of hospitalization, she complained of weakness and numbness of both fourth and fifth fingers, followed by a wrist drop. The study of nerve conduction velocity showed both ulnar nerve mononeuropathy. She was treated with prednisolone 30 mg/day and hydroxychloroquine 200 mg/day and then the ulnar nerve mononeuropathy, arthralgia and gastrointestinal bleeding resolved but purpura was aggravated. We added 200 mg/day of azathioprine to the patient but it was not effective. Finally, we used 400 mg/day of thalidomide and purpura was improved (Figure 5). After two months of treatment with thalidomide, purpura disappeared and then we tapered thalidomide and stopped.
DISCUSSION
Henoch-Schönlein purpura is a systemic vasculitis syndrome that affects small vessels (arterioles and venules) and can present a variety of clinical manifestations. The etiology of Henoch-Schönlein purpura remains unknown, but it is clear that IgA, especially aberrant glycosylated IgA1, plays a pivotal role in the immunopathogenesis of Henoch-Schönlein purpura4). The diagnosis of Henoch-Schönlein purpura is confirmed by histologic examination of skin biopsy, demonstrating a leukocytoclastic vasculitis with neutrophil infiltration. Immunofluorescent studies reveal granular deposits of IgA and lesser quantities of C3 and fibrin. This disease is common in children with male dominace (1.5:1). It runs as an acute, benign and self-limited illness that generally lasts about 4 weeks and recurs in 33% of patients with a mean span time of 2.5±3.1 months after initial resolution of symptoms1, 5). Nevertheless, Henoch-Schönlein purpura in an adult has more fatal complications and poor prognosis. Adults have more frequent symptoms of joint and renal involvement5). Gastrointestinal hemorrhage does not respond to conservative treatment and transfusions and required surgical management6, 7). Nephritis is one of the manifestations of Henoch-Schönlein purpura that may be chronic and severe. Cardiac and pulmonary complications have been reported and were associated with a poor prognosis8). Neurologic complication occurs in 1–8% of patients and includes seizure, confusion, stroke and peripheral mononeuropathy1, 9, 10).
Abundant clinical experience indicates that corticosteroids are not effective on rash and prevention of recurrences but can control the arthritis and abdominal pain11). Other studies have reported the benefit of pulse methyl-prednisolone and cytotoxic agents for nephritis12, 13). Cases have been reported with successful resolution of symptoms using plasmapheresis14), immunoglobulins15) and dapsone16).
To date, thalidomide has been used for various severe, unusual, dermatologic disorders2). The revival of thalidomide began shortly after the drug was withdrawn from the market because of its teratogenic properties. After the therapeutic effects of this were found accidentally in leprosy patients with erythema nodosum leprosum17), thalidomide shows significant clinical impact in several diseases, such as chronic graft-versus-host disease18), systemic lupus erythematosus19) and Behcet’s syndrome20). The effects of thalidomide are thought to be based on its ability to alter the phenotype of circulating immunological cells, reduce cytokine synthesis and inhibit tumor necrosis factor-alpha synthesis by macrophages. Alteration at the level of cytokine synthesis and release, as well as lymphokine synthesis, changes lymphocyte trafficking and neutrophil migration. Thalidomide alters TNF-α-induced expression of adhesion molecules on endothelial cells and reduces leukocyte extravasation and modulates the response of inflammation3).
In general, Henoch-Schönlein purpura is an acute, self-limited vasculitis, but refractoriness as well as fatal complications are not resolved with conservative treatment. In this case, we tried all therapeutic modalities such as corticosteroids, immunosuppressive agents, hydroxy-chloroquine and plasmapheresis, but the response duration was very short and symptoms aggravated again. We finally tried thalidomide and the symptoms disappeared completely after 2 months. The mechanism of thalidomide to control the symptoms of Henoch-Schönlein purpura is unknown. We suggest that thalidomide modulates immune response and reduces leukocyte extravasation and inflammation by alteration of TNF-α-induced expression of adhesion molecules on endothelial cells and control of the vasculitis of Henoch-Schönlein purpura.


PDF Links
PubReader
ePub Link
Full text via DOI
Download Citation
Print





