Korean J Intern Med > Volume 3(2); 1988 > Article
Paik, Lim, Lee, Lee, Huh, Kim, and Suh: Empty Sella Syndrome Associated with Central Nervous System Cysticercosis

Abstract

A 55-year-old woman presented with severe recurrent headache accompanied by dizziness. The brain CT scan showed multiple low-density cystic lesions in the suprasellar and left sylvian cisternae with total empty sell syndrome. The communication between the cisternae and the suprasellar cyst was not verified on the metrizamide CT scan. Treatment with praziquantel resulted in headache inilially and a rise in specific IgG.

INTRODUCTION

Cerebral cysticercosis is caused by infection of the central nervous system by the larvae of the pork tapeworm, Taenia solium. The parasites can be located in the brain parenchyma, the subarachnoid space and the ventricular system in highly variable combinations. The frequency of the diagnosis has been increasing, presumably as a result of the widespead availability of computed tomography.
Empty-sella syndrome is the name given by Busch1) to an enlargement of the sella due to bulging of the arachnoid through a defect of the dural diaphragm. Pressure and pulsation of the cerebrospinal fluid supposedly act on the walls of the sella turcica so as to flatten the pituitary gland.2) The primary empty sella syndrome has been a subject of much interest and research in recent years on account of its clinical correlations with headache, visual defect, papilledema and endocrine disorders.35) In this paper we report a very rare case of total empty sella syndrome associated with cerebral cysticercosis.

CASE REPORT

A 55-year-old Korea woman, previously in good health, presented with severe recurrent headache and dizziness. She had no particular history of preceding head trauma or drug use. She had no previous parasitic infections and had not ingested any raw or undercooked pork. She had been complaining of intermittent headache and dizziness since her first delivery. The headache, which was localized on the frontal and the occipital areas, had a throbbing characteristic. It was not associated with any other specific signs or symptoms and there was also no evidence of migraine. Bean sized skin nodules had once appeared on the trunk and had disappeared spontaneously.
Six moths prior to admission, she had once visited a private clinic because of headache. She refused the recommended brain CT scan, but took some medicine prescribed by the clinic. She came to Yonsei University Hospital with a worsened headache and aggravated dizziness. Routine serum tests and blood counts were all in the normal limits. Examination of stool was negative. Examination of CSF showed an opening pressure of 130mmCSF, 9 leukocytes/mm3, a protein level of 30mg/dl and a glucose level of 49mg/dl. Routine bacteriologic cultures were all negative. A CT scan showed multiple low-density cystic lesions in the suprasellar and left sylvian cisternae compatible with empty-sella syndrome (Fig. 1). In order to evaluate the communication between the cisternae and the suprasellar cyst, a metrizamide CT scan was performed, but it revealed no communication (Fig. 2). Enzyme linked immunosorbent assay (ELISA) for anti-cysticerci IgG in the patient’s CSF and serum gave titers of 1.14 and 0.95, respectively, consistent with active infection (Table 2). There were no abnormal neurological findings. In the combined pituitary stimulation test, the reserve capacities were all prompt except for the TSH response which was blunted (Table 1). The basal serum T3 level was 104.75ng/dl. T4 5ug/dl, fT4 0.86ng/ml, estradiol 25 pg/dl and prolactin 4.31ng/ml.
After the patient gave an informed consent, praziquantel therapy was started at 50mg/kg body weight/day in three divided doses for 15 days. On the first day of praziquantel treatment, the patient complained of diffuse headache, and a low-grade fever and signs of mild meningismus developed. The therapy was continued with dexamethasone added to the original regimen from the second day on. The 15-day course of praziquantel was completed without further difficulty. The headache and dizziness disapperaed dramatically just after the treatment. She was discharged on an anticonvulsant medication with a tapering course of steroid.
A follow-up CT scan, done one month after praziquantel therapy, showed a slight reduction in the size of all intracranial cysts (Fig. 3).

DISCUSSION

The term EMPTY SELLA was applied by Busch1) to an autopsy material in which the diaphragma sella was incomplete regardless of whether there had been prior surgical or radiotherapeutic interventions. Later, Weiss and Raskind6) emphasized the need to distinguish primary (without any prior surgical or-radiotherapeutic procedures) from secondary (following such procedures) cases. Because this patient had no past history of operation or radiotherapy, this case would be classified as primary empty-sella syndrome associated with multilobulated cystic lesions in the suprasellar cistern and the left sylvian cistern. The total empty sella syndrome associated with CNS cysticercosis has not been reported so far.
Headache is by far the most frequent clinical manifestation of empty-sella syndrome; on review of previous case studies,7) it appears to occur in approximately 80% of cases, while papilledema, visual defects and endocrine disorders occur in no more than 8%, 16% and 25%, respectively. In the case of neurocysticercosis, headache together with seizure is one of the most frequently manifested symptoms. In this patient, however, the origin of the headache might be the combination of the above two conditions, namely the empty sella and the neurocysticercosis, and it was very difficult to confirm whether the one was mainly caused by the other or the two were just incidentally associated with each other.
Several mechanisms of the pathogenesis of the empty-sella have been postulated: 1) rupture of intrasellar or parasellar cyst1, 4) 2) infarction of the sellar contents, 3) pituitary hypertrophy and subsequent atrophy, and 4) transmission of cerebrospinal pressure through a congenitally defective sellar diaphragm of these etiologic hypotheses, the most commonly accepted one might be the transmission of either normal or elevated cerebrospinal pressure. An incomplete sellar diaphragm is an essential prerequisite to the development of the empty sella according to this hypothesis although it was not confirmed in this particular patient. Kaufman2) called attention to the documented or suspected elevation of CSF pressure, but in this patient the elevated CSF pressure was not documented. It is speculated however, that a slightly longstanding elevation of CSF pressure by the cyst of the pork tapeworm might have resulted in the enlargement and remodeling of the sellar turcica and in the flattening of the pituitary contents against the floor in the setting of the incomplete sellar diaphragm. We do not exclude, however, the possibility of a coincidental association of the total empty-sella syndrome with cysticercosis in this particular case.
For the evaluation of pituitary functional reserve, a combined pituitary stimulation test was done. The reserve capacities were all within normal limits, but TSH response by TRH was blunted. In the empty sella syndrome, abnormalities of pituitary function have been confined to failure of the growth hormone to increase following insulin induced hypoglycemia, arginine and glucose loads,3) diminished corticoid response,5) imparied TSH response, hypogonadotropism3,8) and virilization. Incidence figures for all the abnormalities are well under 25 percent.
Definitive treatment for cerebral cysticercosis has not been available. Surgery has been generally disappointing and largely limited to managing the secondary effect of the infection, and it is not helphul for the most common presentation of the disease, namely, diffuse parenchymal infection as observed in our patient. The medical treatment of neurocysticercosis is greatly improved by praziquantel, the first effective drug aganist cysticerocosis. The treatment with praziquantel clearly elicited an immunogenic effect, as evidenced by the devolpment of the cerebrospinal fluid syndrome accompanied by a significant rise in the levels of specific IgG that followed treatment. Most authors have stressed the importance of simultaneous use of steroid10) given with parziquantel to prevent the dampening of the inflammatory reaction that often follows the action of the antiparasitic agent on the larvae. Early in the course of the praziquantel treatment without dexamethasone, this patient showed symptoms of cerebrospinal reaction syndrome such as headache, meningismus and fever. In this patient there would be no way of determining, retrospectively, if the cerebrospinal fluid reaction was really diminished in its intensity by the steroid therapy, but we were able to complete the praziquantel course in this patient without further complication.
In patients with CNS cysticercosis, the pituitary gland should be evaluated with a sella CT scan which can diagnose empty sella syndrome. Inevitably, the reserve capacity of the pituitary gland should be investigated for the patient with empty sella syndrome.

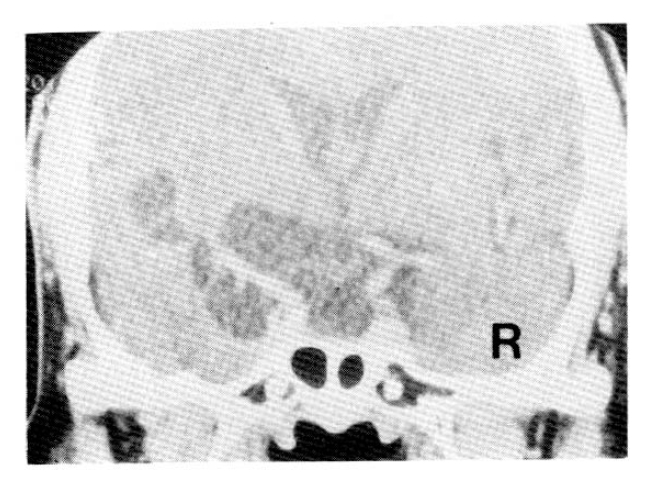
Fig. 1.
Coronal CT scan of the sella with IV contrast infusion: multilobulated cystic lesion in the suprasellar cistern and the left sylvian cistern with extension into the pituitary fossa. A thin rim of the compressed pituitary gland is noted.
kjim-3-2-128-6f1.gif
Fig. 2.
Coronal CT scan of the sella after intrathecal injection of metrizamide: contrast filling in the right side of the suprasellar cistern (arrow) and the pituitary fossa is differentiated with cystic lesions in the left sylvian area, which is revealed in neurocysticercosis.
kjim-3-2-128-6f2.gif
Fig. 3.
Coronal CT scan of the sella with IV contrast after 1 month from initial CT scan and praziquantel treatment: partial shrinkage of the cystic lesion is noticed but persistent empty sella is still being seen.
kjim-3-2-128-6f3.gif
Table 1.
Conbined Pituitary Stimulation Test
Time (min) Blood sugar (mg/ld) GH (ng/ml) TSH (mlU/ml) LH (mlU/ml) FSH (mlU/ml) Prolactin (ng/ml) Cortisol (ng/ml)
Basal 70 0.31 3.50 8.0 9.34 16.09 104.33
15 51 2.19 4.84 13.63 11.06 90.38 159.36
30 30 12.75 5.31 21.49 9.62 74.69 138.72
45 68 8.53 4.62 19.05 11.11 49.74 124.06
60 77 2.75 3.70 13.33 11.52 36.44 92.81
90 85 1.41 3.50 12.62 10.61 30.50 71.02
120 823 0.31 2.68 15.75 10.29 24.81 56.92
Table 2.
Anti-Cysticercus IgG in CSF and Serum
IgG titer
Comments
CSF Serum
1.14 0.95 before PZQ
1.84 1.38 7th day after treatment
1.07 1.07 30th day after treatment

Positive: >0.81

REFERENCES

1. Busch W. Die morphologie des sella turcica und ihre beziehungen zur hypophyse. Virchows Arch path Anat Physiol 320:437. 1951.
crossref
2. Kaufman B. The “empty sella” turcica: A manifestation of the intrasellar subarachnoid space. Radiology 90:931. 1968.
crossref pmid
3. Bernasconi V, Giovanelli MA, Papo I. Primary empty sella. J Neurosurg 36:157. 1972.
crossref pmid
4. Neelon FA, Goree J, Levobitz H. The primary empty sella Clinical and radiographic characteristics and endocrine function. Medicine 52:73. 1973.
crossref pmid
5. Brisman R, Hughes JEO, Holub DA. Endocrine function in nineteen patients with empty sellar syndrome. J Clin Endocrinol metal 34:570. 1972.
crossref
6. Weiss SR, Raskind R, Weiss SR, Raskind R. Non-neoplastic intrasellar cysts. Int Surg 51–2821981.

7. Giacomo M, Gian C, Paolo M, Stefano P, Mario P. Empty sella headache. Headache 21:211. 1981.
crossref pmid
8. Thomas HM, Lufkin EG, Ellis GJ. Hypogonadotropism and “empty sella” improvement in two cases treated with clomiphene citrate. Fertil Steril 24:252. 1973.
crossref pmid
9. Sotelo J, Escobedo F, Rodriguez-Carbajal J, Torres BX, Rubio-Donnadieu F. Therapy of parenchymal brain cysticercosis with praziquantel. N Eng J Med 310:1001. 1984.
crossref
10. deGhetaldi LD, Norman RM, Douville AW. Cerebral cysticercosis treated biphasically with dexamethasone and praziquantel. Ann Intern Med 99–1791983.
crossref

Editorial Office
101-2501, Lotte Castle President, 109 Mapo-daero, Mapo-gu, Seoul 04146, Korea
Tel: +82-2-2271-6792    Fax: +82-2-790-0993    E-mail: kaim@kams.or.kr                

Copyright © 2026 by Korean Association of Internal Medicine.

Close layer
prev next